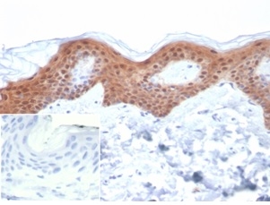
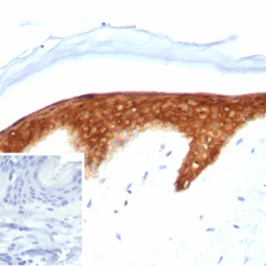
SERPINB5 Antibodies

Synonyms

Serpin B5, Maspin, Peptidase inhibitor 5, Maspin; Ovalbumin; PI-5; PI5; protease inhibitor 5 (maspin); serine (or cysteine) proteinase inhibitor, clade B (ovalbumin), member 5; Serpin B5; serpin family B member 5; Serpin peptidase inhibitor, clade B (ovalbumin), member 5; Spi5; Spi7

Research Areas

Apoptosis, Autophagy, Angiogenesis

SERPINB5

PARTNERSHIP OPPORTUNITIES

NeoBiotechnologies holds Exclusive rights to 10,000 recombinant and hybridoma antibody products, available for Licensing or Collaboration.

LETS TALK