Recombinant Uroplakin II (UPK2) (Urothelial Differentiation Marker) Antibody [UPK2/13669R]

In Stock
Catalog Number Formulation Size Price
7379-RBM2-P0
Purified Ab with BSA and Azide at 200ug/ml
20ug
$259.00
7379-RBM2-P1
Purified Ab with BSA and Azide at 200ug/ml
100ug
$559.00
7379-RBM2-P1ABX
Purified Ab WITHOUT BSA and Azide at 1.0mg/ml
100ug
$559.00
Flat Rate Domestic: $95 | Orders outside the US - Contact Us for Order Information | Ships next business day

Applications & Dilutions

Applications Tested Dillution Protocol Note
Immunohistochemistry (IHC)
1-2ug/ml
30 min at RT. Staining of formalin-fixed tissues requires heating tissue sections in 10mM Tris with 1mM EDTA, pH 9.0, for 45 min at 95°C followed by cooling at RT for 20 minutes

Summary

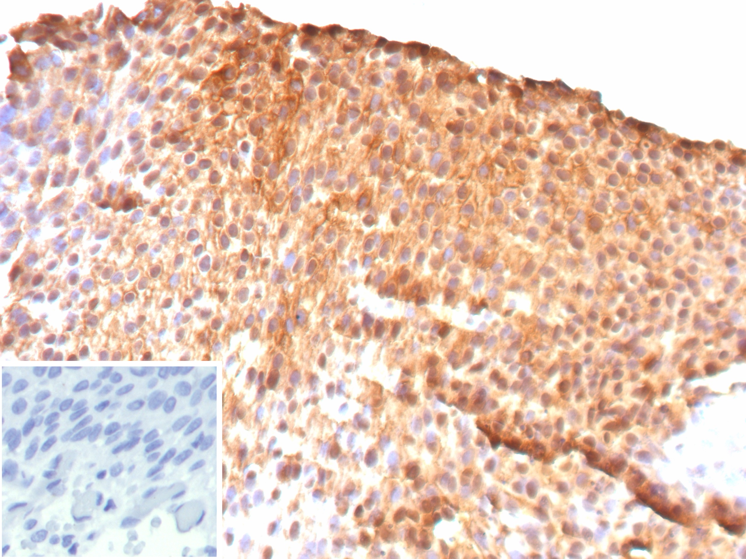
Uroplakin II (UPII) is a 15-kDa protein comprising urothelial plaques, which fortify the urothelial barrier. It is a highly specific marker for tumors of urothelial origin, particularly urothelial carcinoma (UC). UPII messenger RNA has been detected in the tissue and blood of UC patients. Immunohistochemistry utilizing UPII antibodies, such as UPK2/13669R, exhibits high specificity and increased sensitivity for urothelial carcinoma compared to UPIII antibodies. UPII immunohistochemistry is valuable for differentiating urothelial carcinoma from other malignancies, including prostate adenocarcinoma or metastatic breast carcinoma. It has also shown promise for detecting micrometastases of bladder cancer. UPII expression is found in various UC subtypes like micro-papillary, plasmacytoid, and sarcomatoid variants.

Product Properties & Targets

Host
Rabbit
Applications
Species Reactivity
Research Areas
Isotype / Light Chain
IgG / Kappa
Cellular Localization
Cell membrane
Gene Name
Positive Control
Urinary bladder.
Immunogen
Recombinant fragment (around aa 36-51) of human Uroplakin 2 (UPK2) protein (exact sequence is proprietary)
Alternate Names
Uroplakin 2, Uroplakin II, UP2, UPK2, UP2; UPII

Database Links

Entrez Gene ID
SwissProt

Additional Information

Clone
UPK2/13669R
Chromosome Location
11q23.3
Mol. Weight of Antigen
195kDa
Expression System
CHO Cells
Purification
Protein A

Functions

  • Component of the asymmetric unit membrane (AUM); a highly specialized biomembrane elaborated by terminally differentiated urothelial cells. May play an important role in regulating the assembly of the AUM.

Key References

  • Sun TT, et al. Adv Exp Med Biol. 1999;462:7-18; discussion 103-14.

Storage & Stability

Antibody with azide - store at 2 to 8°C. Antibody without azide - store at -20 to -80°C. Antibody is stable for 24 months. Non-hazardous. No MSDS required.

Limitations

This antibody is available for research use only and is not approved for use in diagnosis.

Supplied as

200ug/ml of Ab purified from Bioreactor Concentrate by Protein A. Prepared in 10mM PBS with 0.05% BSA & 0.05% azide. Also available WITHOUT BSA & azide at 1.0mg/ml.

Warranty

There are no warranties, expressed or implied, which extend beyond this description. Company is not liable for any personal injury or economic loss resulting from this product.

Reviews

There are no reviews yet.

Be the first to review “Recombinant Uroplakin II (UPK2) (Urothelial Differentiation Marker) Antibody”

Your email address will not be published. Required fields are marked *

PARTNERSHIP OPPORTUNITIES

NeoBiotechnologies holds Exclusive rights to 10,000 recombinant and hybridoma antibody products, available for Licensing or Collaboration.

LETS TALK