
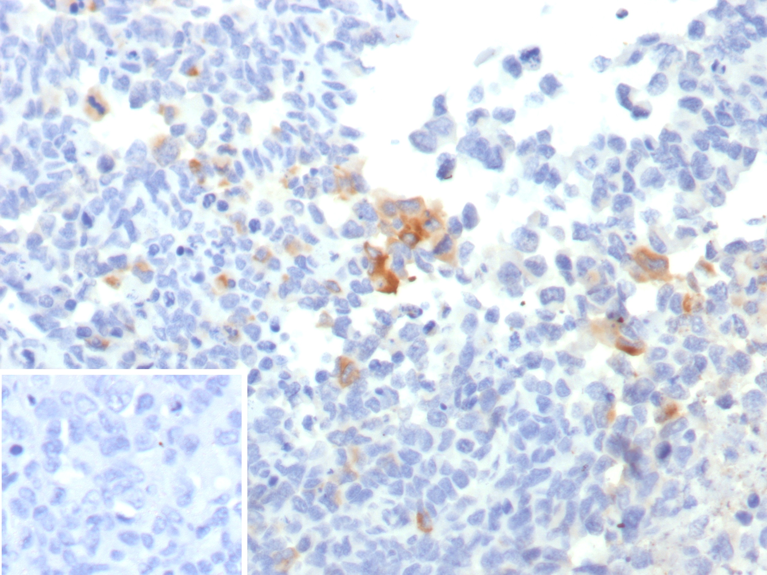
Formalin-fixed, paraffin-embedded human melanoma stained with gp100 / Melanosome Mouse Monoclonal Antibody (PMEL/7554R). Inset: PBS instead of primary antibody; secondary only negative control.

Analysis of HuProt™ Protein Array (21,000+ full-length human proteins) with gp100 / PMEL17 Recombinant Rabbit Monoclonal Antibody (PMEL17/7554R). Z-score: Signal strength (in SD above the mean) of antibody binding to each protein. S-score: Difference in Z-scores between the top target and the next best hit, indicating relative specificity. An antibody is considered specific if S ≥ 2.5. Example: Binding to protein X (Z = 43) vs protein Y (Z = 14) → S = 29.
The gp100 molecule is a 100kDa glycosylated protein that is cleaved into a small (26kDa) carboxy-terminal fragment and a larger amino- terminal section (60 64 kDa), which is subsequently cleaved to generate 26kDa and 34 38kDa fragments. By immunohistochemistry, it specifically recognizes a protein in melanocytes and melanomas. This MAb reacts with junctional and blue nevus cells and variably with fetal and neonatal melanocytes. Intradermal nevi, normal adult melanocytes, and non-melanocytic cells are negative. It does not stain tumor cells of epithelial, lymphoid, glial, or mesenchymal origin. Metastatic amelanotic melanoma can often be confused with a variety of poorly differentiated carcinomas, large cell lymphomas, and sarcomas using H & E stains alone. It is also difficult to differentiate melanoma from spindle cell carcinomas and various types of mesenchymal neoplasms. This MAb stains fetal and neonatal melanocytes, junctional and blue nevus cells, and malignant melanoma. This MAb also stains Angiomyolipoma (PEComa).