
Formalin-fixed, paraffin-embedded human mesothelioma stained with BAP1 Recombinant Rabbit Monoclonal Antibody (BAP1/13501R). HIER: Tris/EDTA, pH9.0, 45min. 2°: HRP-polymer, 30min. DAB, 5min.

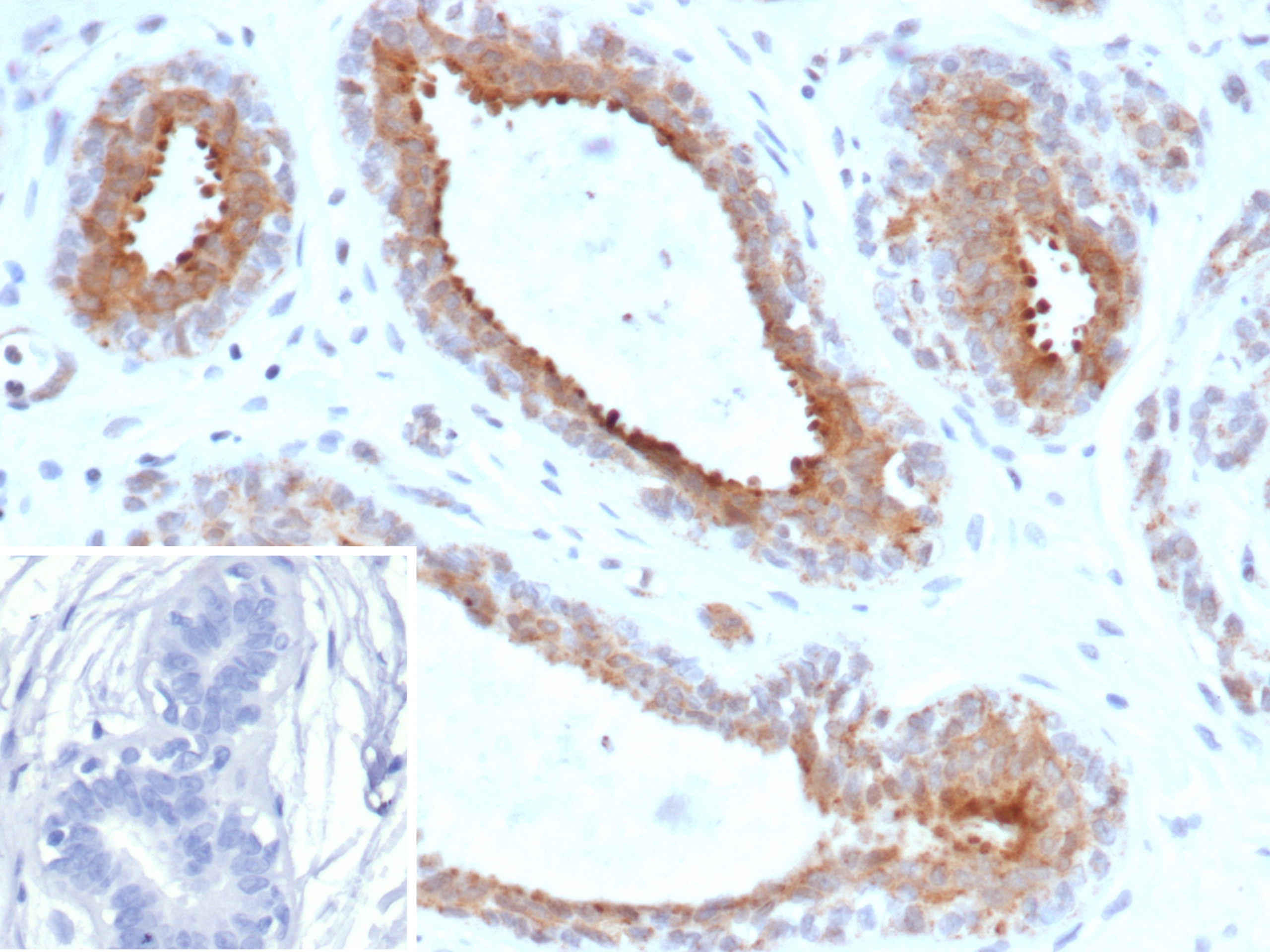
Formalin-fixed, paraffin-embedded human breast carcinoma stained with BAP1 Recombinant Rabbit Monoclonal Antibody (BAP1/13501R). Inset: PBS instead of primary antibody; secondary only negative control.
The BAP1 gene belongs to the ubiquitin C-terminal hydrolase subfamily of de-ubiquitination enzymes that are involved in the removal of ubiquitin from proteins. The encoded enzyme binds to the breast cancer type 1 susceptibility protein (BRCA1) via the RING finger domain of the latter and acts as a tumor suppressor. In addition, the enzyme may be involved in regulation of transcription, regulation of cell cycle and growth, response to DNA damage and chromatin dynamics. Germ line mutations in this gene may be associated with tumor predisposition syndrome (TPDS), which involves increased risk of cancers including malignant mesothelioma, Uveal melanoma and cutaneous melanoma.
There are no reviews yet.