
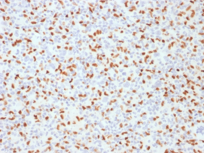
Formalin-fixed, paraffin-embedded human Hodgkin's Lymphoma stained with PU.1-Monospecific Mouse Monoclonal Antibody (PU1/2146).

Formalin-fixed, paraffin-embedded human Colon Carcinoma stained with PU.1-Monospecific Mouse Monoclonal Antibody (PU1/2146).

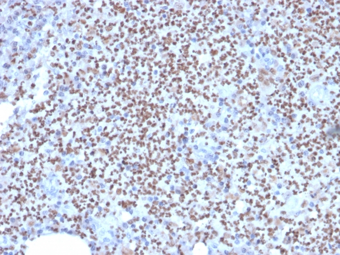
Formalin-fixed, paraffin-embedded human Lymph Node stained with PU.1-Monospecific Mouse Monoclonal Antibody (PU1/2146).

Formalin-fixed, paraffin-embedded human Spleen stained with PU.1-Monospecific Mouse Monoclonal Antibody (PU1/2146).

Western Blot Analysis of THP-1 cell lysate using PU.1-Monospecific Mouse Monoclonal Antibody (PU1/2146).
PU.1 is a member of the ETS family of transcription factors and is important for normal B-cell development. It is expressed in the myeloid lineage and in immature as well as mature B-lymphocytes, with the exception of plasma cells. PU.1 is expressed in germinal center B-cells and mantle B-cells. Various lymphomas are also positive for this marker. It is essential during early B-cell differentiation. The absence of PU.1 results in total block of B-cell development at the pre-pro stage. PU.1 plays a key role in normal myeloid differentiation, and regulates the expression of immunoglobulin and other genes that are important for B-cell development.
There are no reviews yet.