PHPT1 Antibody [PHPT1/12053]

In Stock
Catalog Number Formulation Size Price
29085-MSM1-P0
Purified Ab with BSA and Azide at 200ug/ml
20ug
$259.00
29085-MSM1-P1
Purified Ab with BSA and Azide at 200ug/ml
100ug
$559.00
29085-MSM1-P1ABX
Purified Ab WITHOUT BSA and Azide at 1.0mg/ml
100ug
$559.00
Flat Rate Domestic: $95 | Orders outside the US - Contact Us for Order Information | Ships next business day

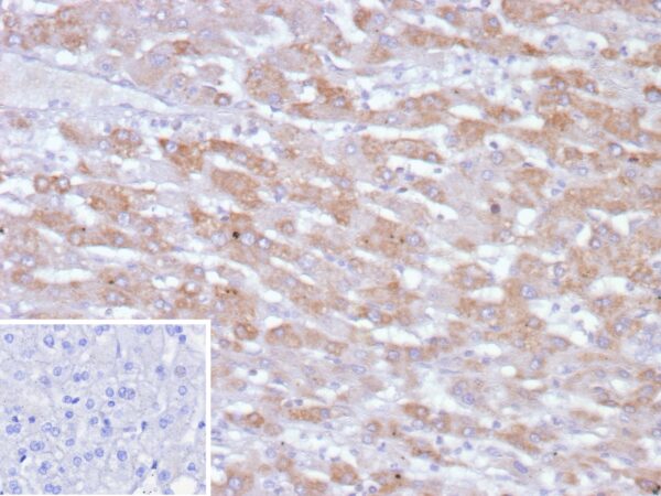
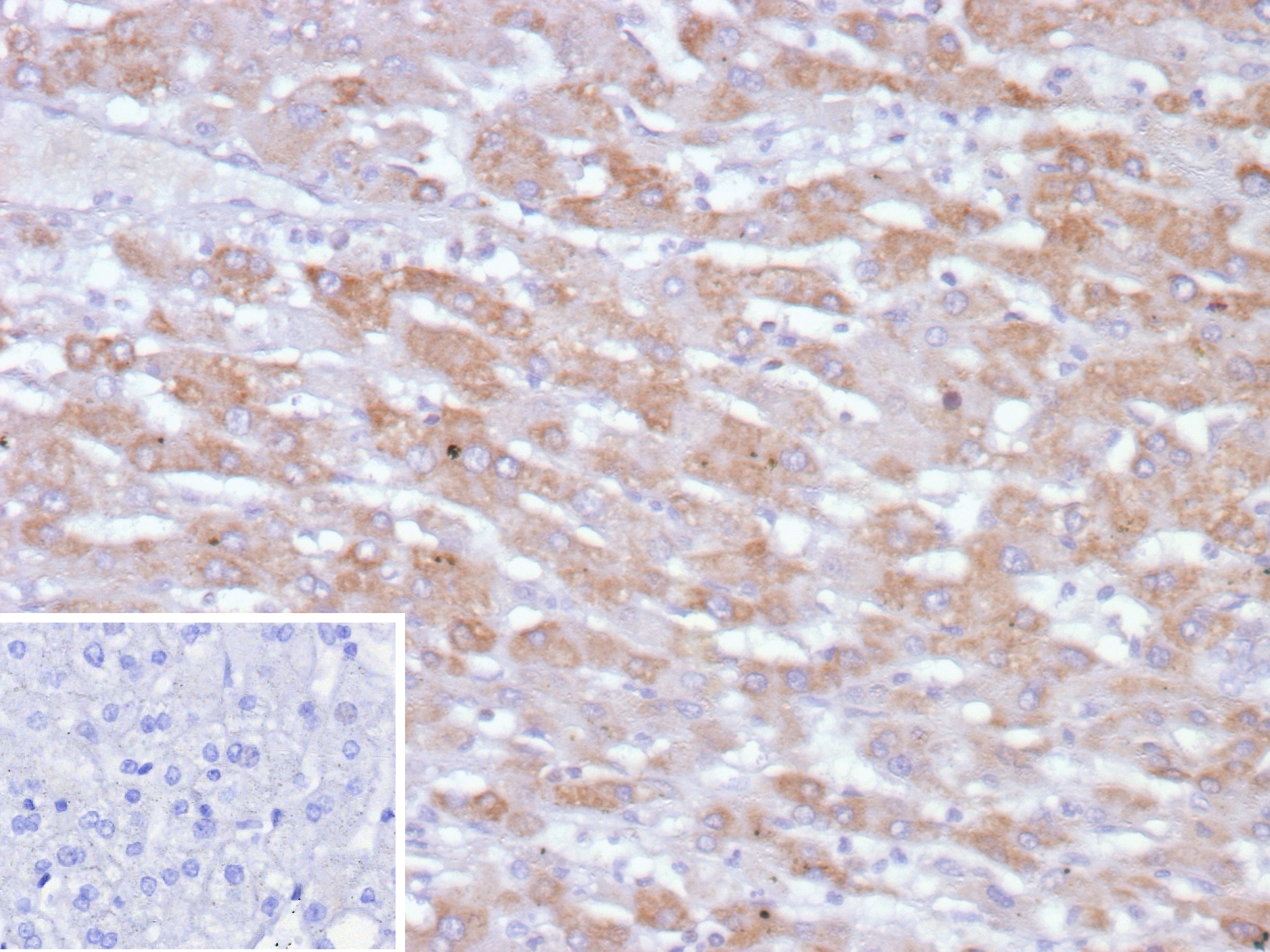
Applications & Dilutions

Applications Tested Dillution Protocol Note
Immunohistochemistry (IHC)
1-2ug/ml
30 min at RT. Staining of formalin-fixed tissues requires heating tissue sections in 10mM Tris with 1mM EDTA, pH 9.0, for 45 min at 95°C followed by cooling at RT for 20 minutes

Summary

PHPT1 (phosphohistidine phosphatase 1), also known as 14 kDa phosphohistidine phosphatase, is a 125 amino acid enzyme belonging to the Janus protein family. Existing as a monomer in the cytoplasm, PHPT1 is an EDTAinsensitive phosphohistidine phosphatase. First identified in human adrenal gland, PHPT1 is highly expressed in skeletal muscle and heart, with lower expression in liver, pancreas and kidney. Overexpression of PHPT1 leads to specific phosphohistidine phosphatase activity towards phosphopeptide I, with no activity detected towards phosphotyrosine, phosphothreonine and phosphoserine peptides. PHPT1 is highly conserved among species, suggesting that it serves an essential functional role.

Product Properties & Targets

Antibody Type
Host
Mouse
Applications
Species Reactivity
Isotype / Light Chain
IgG /
Cellular Localization
Cytoplasm
Gene Name
Positive Control
Human heart, skeletal muscle or breast.
Immunogen
Recombinant human PHPT1 protein
Alternate Names
14 kDa phosphohistidine phosphatase, 14 kDa phosphohistidine phosphatase; Phosphohistidine phosphatase 1; Protein histidine phosphatase; Protein janus-A homolog; PHPT1; PHP HSPC141; CGI-202; PHP14; PHPT1, bA216L13.10, CGI-202, DKFZp564M173, HSPC141, PHP14

Database Links

Entrez Gene ID
SwissProt

Additional Information

Clone
PHPT1/12053
Chromosome Location
9q34.3
Mol. Weight of Antigen
14kDa

Functions

  • Exhibits phosphohistidine phosphatase activity.

Key References

  • Zhang, N., Liao, Y., et al. (2022). FBXO32 targets PHPT1 for ubiquitination to regulate the growth of EGFR mutant lung cancer. Cellular oncology (Dordrecht, Netherlands), 45(2), 293–307. https://doi.org/10.1007/s13402-022-00669-6
  • Xu, A. J., Xia, et al. (2010). Clinical significance of PHPT1 protein expression in lung cancer. Chinese medical journal, 123(22), 3247–3251.
  • Kim, H. J., Jung, H., et al. (2022). Identification of a Target Site for Covalent Inhibition of Protein Phosphohistidine Phosphatase 1. ACS medicinal chemistry letters, 13(12), 1911–1915.

Storage & Stability

Antibody with azide - store at 2 to 8°C. Antibody without azide - store at -20 to -80°C.Antibody is stable for 24 months. Non-hazardous. No MSDS required.

Limitations

This antibody is available for research use only and is not approved for use in diagnosis.

Supplied as

200ug/ml of Ab purified from Bioreactor Concentrate by Protein A/G. Prepared in 10mM PBS with 0.05% BSA & 0.05% azide. Also available WITHOUT BSA & azide at 1.0mg/ml.

Warranty

There are no warranties, expressed or implied, which extend beyond this description. Company is not liable for any personal injury or economic loss resulting from this product.

Reviews

There are no reviews yet.

Be the first to review “PHPT1 Antibody”

Your email address will not be published. Required fields are marked *

PARTNERSHIP OPPORTUNITIES

NeoBiotechnologies holds Exclusive rights to 10,000 recombinant and hybridoma antibody products, available for Licensing or Collaboration.

LETS TALK