
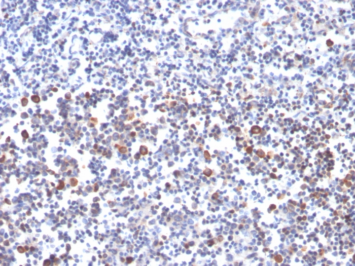
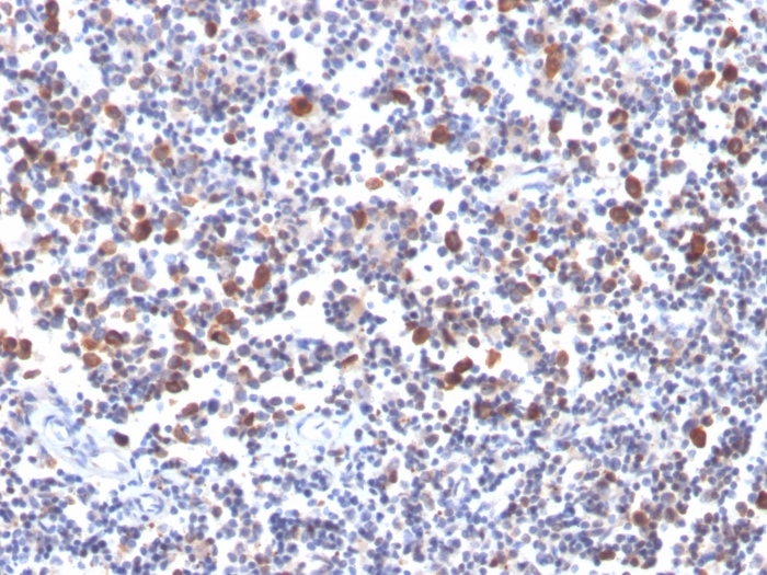
Formalin-fixed, paraffin-embedded human tonsil stained with OX40 Mouse Monoclonal Antibody (OX40/3427).

Formalin-fixed, paraffin-embedded human tonsil stained with OX40 Mouse Monoclonal Antibody (OX40/3427).

Analysis of Protein Array containing more than 19,000 full-length human proteins using OX40 Mouse Monoclonal Antibody (OX40/3427). Z- and S- Score: The Z-score represents the strength of a signal that a monoclonal antibody (MAb) (in combination with a fluorescently-tagged anti-IgG secondary antibody) produces when binding to a particular protein on the HuProtTM array. Z-scores are described in units of standard deviations (SD's) above the mean value of all signals generated on that array. If targets on HuProtTM are arranged in descending order of the Z-score, the S-score is the difference (also in units of SD's) between the Z-score. S-score therefore represents the relative target specificity of a MAb to its intended target. A MAb is considered to specific to its intended target, if the MAb has an S-score of at least 2.5. For example, if a MAb binds to protein X with a Z-score of 43 and to protein Y with a Z-score of 14, then the S-score for the binding of that MAb to protein X is equal to 29.
This MAb recognizes a protein of 43kDa, identified as OX40, which is also known as CD134. OX40 is a type I integral membrane glycoprotein and member of the tumor necrosis factor/nerve growth factor receptor (TNFR/NGFR) family. It is expressed on activated T lymphocytes, hematopoietic precursor cells and fibroblasts. It functions as a T cell co-stimulatory receptor when bound by OX40 Ligand / TNFSF4 that is expressed by antigen presenting cells. OX40 thereby plays roles in T-cell activation as well as the regulation of differentiation, proliferation or apoptosis of normal and malignant lymphoid cells. OX40 is upregulated at the sites of inflammation, especially in case of multiple sclerosis and psoriatic lesions.
There are no reviews yet.