
Formalin-fixed, paraffin-embedded Rat Kidney stained with AF488-conjugated BrdU Mouse Monoclonal Antibody (BRD469).

Immunofluorescence Analysis of PFA-fixed MCF-7 cells stained with Nucleolin Mouse Monoclonal Antibody (364-5) followed by Goat anti-Mouse IgG-CF488 (Green). Membrane is stained with Phalloidin-CF640.

Immunofluorescence Analysis of PFA-fixed K562 cells stained with Nucleolin Mouse Monoclonal Antibody (364-5) followed by Goat anti-Mouse IgG-CF488 (Green). Membrane is stained with Phalloidin-CF640.

Flow Cytometry of Human Nucleolin Ag on 293T cells. Black: cells alone; Grey: Isotype Control; Green: AF488-labeled Nucleolin Monoclonal Antibody (364-5).
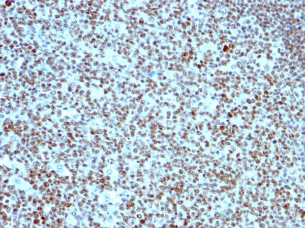
Recognizes a protein of ~76kDa, which is identified as Nucleolin (NCL). It is the major nucleolar phosphoprotein of growing eukaryotic cells. NCL is located mainly in dense fibrillar regions of the nucleolus. It is found associated with intranucleolar chromatin and pre-ribosomal particles. Human NCL gene consists of 14 exons with 13 introns and spans approximately 11kb. It induces chromatin decondensation by binding to histone H1. It is thought to play a role in pre-rRNA transcription and ribosome assembly.This MAb can be used to stain the nucleoli in cell or tissue preparations and can be used as a marker of the nucleoli in subcellular fractions. It produces a speckled pattern in the nuclei of cells of normal and malignant cells and may be used to stain the nucleoli of cells in fixed or frozen tissue sections. It can be used with paraformaldehyde fixed frozen tissue or cell preparations and formalin fixed, paraffin-embedded tissue sections.
There are no reviews yet.