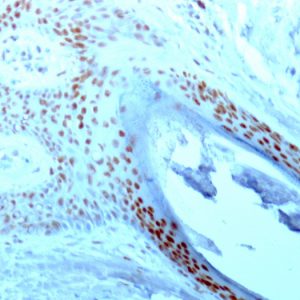
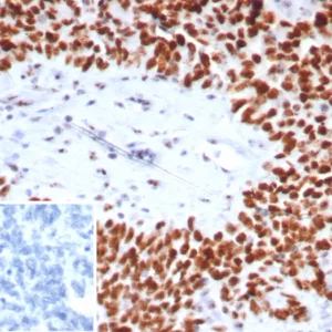
NCL Antibodies

Synonyms

Nucleolin, Protein C23, NCL; Nucl; Nucleolin; Protein C23

Research Areas

Cardiovascular, Nuclear Marker

NCL

PARTNERSHIP OPPORTUNITIES

NeoBiotechnologies holds Exclusive rights to 10,000 recombinant and hybridoma antibody products, available for Licensing or Collaboration.

LETS TALK