
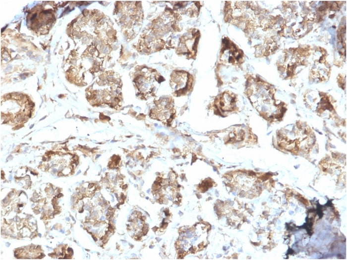
Formalin-fixed, paraffin-embedded human breast carcinoma stained with NME2 / nm23-H2 Mouse Monoclonal Antibody (CPTC-NME2-2).

Western Blot Analysis of PC-3 cell lysate using NME2 / nm23-H2 Mouse Monoclonal Antibody (CPTC-NME2-2).

SDS-PAGE Analysis of Purified NME2 / nm23-H2 Mouse Monoclonal Antibody (CPTC-NME2-2). Confirmation of Purity and Integrity of Antibody.

Analysis of Protein Array containing more than 19,000 full-length human proteins using NME2 / nm23-H2 / NDPK-B Monoclonal Antibody (CPTC-NME2-2). Z- and S- Score: The Z-score represents the strength of a signal that a monoclonal antibody (MAb) (in combination with a fluorescently-tagged anti-IgG secondary antibody) produces when binding to a particular protein on the HuProtTM array. Z-scores are described in units of standard deviations (SD's) above the mean value of all signals generated on that array. If targets on HuProtTM are arranged in descending order of the Z-score, the S-score is the difference (also in units of SD's) between the Z-score. S-score therefore represents the relative target specificity of a MAb to its intended target. A MAb is considered to specific to its intended target, if the MAb has an S-score of at least 2.5. For example, if a MAb binds to protein X with a Z-score of 43 and to protein Y with a Z-score of 14, then the S-score for the binding of that MAb to protein X is equal to 29.
The nm23 gene, a potential suppressor of metastasis, was originally identified by differential hybridization between two murine melanoma sub-lines, one with a high and the second with a low metastatic capacity. Highly metastatic sub-lines exhibit much lower levels of nm23 than less metastatic cells. Based on sequence analysis, nm23 appears highly related to nucleotide diphosphate kinases (NDP). In humans, NDP kinases A and B are identical to two isotypes of human nm23 homologs, namely nm23-H1 and H2, respectively. nm23-H2 is identical in sequence to PuF, a transcription factor that binds to nuclease hypersensitive elements at positions 142 to 115 of the human c-Myc promotor.
There are no reviews yet.