
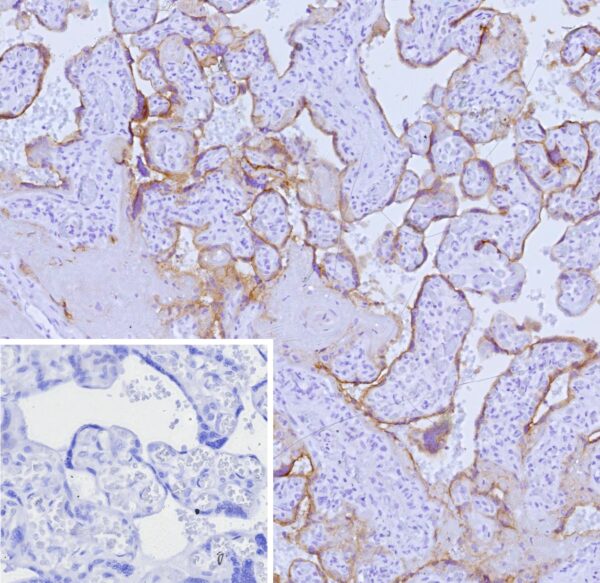
Formalin-fixed, paraffin-embedded human placenta stained with Nectin 4 Mouse Monoclonal Antibody (NECTIN4/9906). Inset: PBS instead of primary antibody; secondary only negative control.

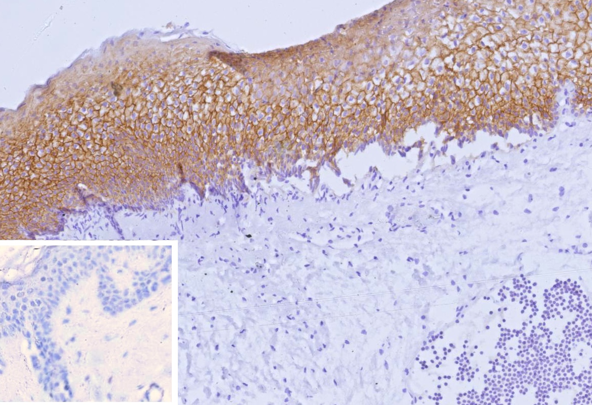
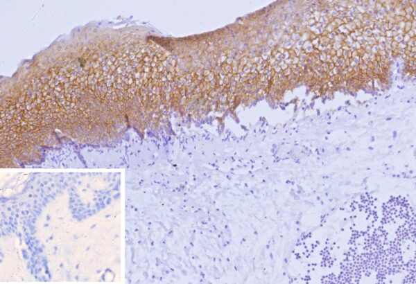
Formalin-fixed, paraffin-embedded human skin stained with Nectin 4 Mouse Monoclonal Antibody (NECTIN4/9906). Inset: PBS instead of primary antibody; secondary only negative control.

Western blot analysis of A-431 and MCF7 cell lysates using NECTIN 4 Mouse Monoclonal Antibody (NECTIN4/9906).

SDS-PAGE Analysis of Purified Nectin 4 Mouse Monoclonal Antibody (NECTIN4/9906). Confirmation of Purity and Integrity of Antibody.

Analysis of Protein Array containing more than 19,000 full-length human proteins using Nectin 4 Mouse Monoclonal Antibody (NECTIN4/9906). Z- and S- Score: The Z-score represents the strength of a signal that a monoclonal antibody (MAb) (in combination with a fluorescently-tagged anti-IgG secondary antibody) produces when binding to a particular protein on the HuProtTM array. Z-scores are described in units of standard deviations (SD's) above the mean value of all signals generated on that array. If targets on HuProtTM are arranged in descending order of the Z-score, the S-score is the difference (also in units of SD's) between the Z-score. S-score therefore represents the relative target specificity of a MAb to its intended target. A MAb is considered to specific to its intended target, if the MAb has an S-score of at least 2.5. For example, if a MAb binds to protein X with a Z-score of 43 and to protein Y with a Z-score of 14, then the S-score for the binding of that MAb to protein X is equal to 29.
Homologous to the poliovirus receptor (PVR/CD155), the nectin immunoglobulin superfamily comprises four known isoforms (-1, -2, -3, and -4). The ectodomain of nectin family members comprises three Ig-like domains (V, C, C). Nectins localize at the adherens junctions (AJ) in epithelial and endothelial cells where they serve as adhesion molecules. Actin-based AJs play a role in mechanical adhesion, cellular morphogenesis and cellular differentiation. Nectin associates with the actin cytoskeleton through its interaction with the actin filament-binding protein afadin. Nectin 4 and afadin co-localize at cadherin-based adherens junctions in MDCKII epithelial cells. Nectin 4 and nectin 3 share a common binding region in the V domain of Nectin 1 and thus compete for Nectin 1 binding. The Nectin 3/4 binding domain maps to the C-C’-C”-D 尾 strands of the V domain of Nectin 1. Unlike other nectins, which are more widely expressed, Nectin 4 is mainly expressed in the placenta.
There are no reviews yet.