Napsin A (Lung Adenocarcinoma Marker) Antibody [NAPSA/1238 + NAPSA/1239]

In Stock
Catalog Number Formulation Size Price
9476-MSM4-P0
Purified Ab with BSA and Azide at 200ug/ml
20ug
$249.00
9476-MSM4-P1
Purified Ab with BSA and Azide at 200ug/ml
100ug
$539.00
9476-MSM4-P1ABX
Purified Ab WITHOUT BSA at 1.0mg/ml
100ug
$539.00
Flat Rate Domestic: $95 | Orders outside the US - Contact Us for Order Information | Ships next business day

Applications & Dilutions

Applications Tested Dillution Protocol Note
Flow Cytometry (Flow)
1-2ug/million cells
Immunofluorescence (IF)
1-3ug/ml
Immunohistochemistry (IHC)
1-2ug/ml
30 min at RT. Staining of formalin-fixed tissues requires heating tissue sections in 10mM Tris with 1mM EDTA, pH 9.0, for 45 min at 95°C followed by cooling at RT for 20 minutes
Western Blot (WB)
2-4ug/ml

Summary

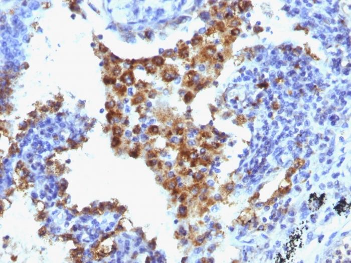
Napsin is a pepsin-like aspartic proteinase connected with maturation of surfactant protein B.There are two closely related napsins, napsin A and napsin B. Napsin A is expressed as a single chain protein. Immunohistochemical studies revealed high expression levels of napsin A in human lung and kidney but low expression in spleen. Napsin A is expressed in type II pneumocytes and in adenocarcinomas of lung. The high specificity expression of napsin A in adenocarcinomas of lung is useful to distinguish primary lung adenocarcinomas from adenocarcinomas of other organs.

Product Properties & Targets

Antibody Type
Host
Mouse
Species Reactivity
Research Areas
Isotype / Light Chain
IgG / Kappa
Cellular Localization
Secreted
Gene Name
Positive Control
Lung adenocarcinoma.
Immunogen
Recombinant human Napsin-A protein fragment (aa189-299) (exact sequence is proprietary)
Alternate Names
Napsin-A, Aspartyl protease 4, Napsin-1, TA01/TA02, ASP4, Aspartyl protease 4, KAP, Kidney derived aspartic protease like protein (Kdap), NAP1, NAPA, Napsa, napsin A aspartic peptidase, Pronapsin A, SNAPA

Database Links

Entrez Gene ID
SwissProt

Additional Information

Clone
NAPSA/1238 + NAPSA/1239
Chromosome Location
19q13.33
Mol. Weight of Antigen
37kDa

Functions

  • May be involved in processing of pneumocyte surfactant precursors.

Key References

  • Ordonez, NG 2012 Adv Anat Pathol 19: 66-73
  • Bishop, JA et. al. Hum Pathol 41: 20-25
  • Ye, J et. al. Appl Immunhistochem Mol Morphol 19: 313-317

Storage & Stability

Antibody with azide - store at 2 to 8°C. Antibody without azide - store at -20 to -80°C. Antibody is stable for 24 months. Non-hazardous. No MSDS required.

Limitations

This antibody is available for research use only and is not approved for use in diagnosis.

Supplied as

200ug/ml of Ab Purified from rabbit anti-serum by Protein A. Prepared in 10mM PBS with 0.05% BSA & 0.05% azide. Also available WITHOUT BSA at 1.0mg/ml.

Warranty

There are no warranties, expressed or implied, which extend beyond this description. Company is not liable for any personal injury or economic loss resulting from this product.

Reviews

There are no reviews yet.

Be the first to review “Napsin A (Lung Adenocarcinoma Marker) Antibody”

Your email address will not be published. Required fields are marked *

PARTNERSHIP OPPORTUNITIES

NeoBiotechnologies holds Exclusive rights to 10,000 recombinant and hybridoma antibody products, available for Licensing or Collaboration.

LETS TALK