
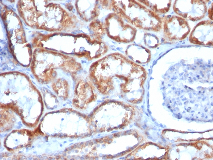
Formalin-fixed, paraffin-embedded human Renal Cell Carcinoma stained with Mitochondria Mouse Monoclonal Antibody (113-1).

Formalin-fixed, paraffin-embedded human Pancreas stained with Mitochondria Mouse Monoclonal Antibody (113-1).

Confocal immunofluorescence image of HeLa cells using Mitochondria Mouse Monoclonal Antibody (113-1) labeled is Green (CF488) and Reddot is used to label the nuclei Red.
This MAb recognizes a 60kDa antigen associated with the mitochondria in human cells. It can be used to stain mitochondria in cell or tissue preparations and can be used as a mitochondrial marker in subcellular fractions. It produces a spaghetti-like pattern in normal and malignant cells. This antibody is an excellent marker for human cells in xenographic model research. It reacts specifically with human cells, including neurons and embryonic stem cells. Immunostaining pattern with anti-mitochondrial MAb has been reported as a useful discriminatory adjunct in the complex differential diagnosis of granular renal cell tumors. Reportedly, this MAb facilitates the classification of salivary tumors.
There are no reviews yet.