Luteinizing Hormone / Choriogonadotropin Receptor (LHCGR) Antibody [LHCGR/7398]

In Stock
Catalog Number Formulation Size Price
3973-MSM8-P0
Purified Ab with BSA and Azide at 200ug/ml
20ug
$259.00
3973-MSM8-P1
Purified Ab with BSA and Azide at 200ug/ml
100ug
$559.00
3973-MSM8-P1ABX
Purified Ab WITHOUT BSA and Azide at 1.0mg/ml
100ug
$559.00
Flat Rate Domestic: $95 | Orders outside the US - Contact Us for Order Information | Ships next business day

Applications & Dilutions

Applications Tested Dillution Protocol Note
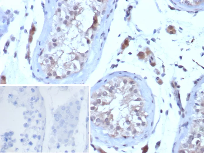
Immunohistochemistry (IHC)
1-2ug/ml
30 min at RT. Staining of formalin-fixed tissues requires heating tissue sections in 10mM Tris with 1mM EDTA, pH 9.0, for 45 min at 95°C followed by cooling at RT for 20 minutes

Summary

Recognizes a protein of 78-85kDa, which is identified as Luteinizing hormone / choriogonadotropin receptor. Luteinizing hormone plays a role in spermatogenesis and ovulation by stimulating the testes and ovaries to produce steroids. Choriogonadotropin production in the placenta maintains estrogen and progesterone levels during the first trimester of pregnancy. Ovaries and testes abundantly express luteinizing hormone / choriogonadotropin receptor (LHCGR) as a seven transmembrane, G protein-coupled receptor glycoprotein. LHCGR influences the protective effect of pregnancy and Gonadotropin against breast cancer. The expression of LHCGR on breast carcinoma correlates in part to the degree of tumor differentiation. LHCGR -positive breast tumors occur more frequently in tumors with greater cell differentiation in premenopausal women.

Product Properties & Targets

Antibody Type
Host
Mouse
Applications
Species Reactivity
Research Areas
Isotype / Light Chain
IgG1 / Kappa
Cellular Localization
Cytoplasm. Cell surface.
Gene Name
Positive Control
HepG2 or Jurkat cells. Human ovarian carcinoma.
Immunogen
Recombinant fragment (around aa 100-300) of human LHCGR protein (exact sequence is proprietary)
Alternate Names
Lutropin-choriogonadotropic hormone receptor, Luteinizing hormone receptor, Gonadotropin receptor; GTHR-II; HHG; LCGR; LGR2; LH-R; LH/CG-R; LH/CGR; LHCGR; LHR; LHRHR; LSH-R; Luteinizing hormone receptor; Luteinizing hormone/choriogonadotropin receptor; Lutropin choriogonadotropic receptor; Lutropin-choriogonadotropic hormone receptor; ULG5

Database Links

Entrez Gene ID
SwissProt

Additional Information

Clone
LHCGR/7398
Chromosome Location
2p21
Mol. Weight of Antigen
78-85kDa

Functions

  • Receptor for lutropin-choriogonadotropic hormone (PubMed:11847099). The activity of this receptor is mediated by G proteins which activate adenylate cyclase (PubMed:11847099).

Key References

  • Pidoux, G., et al. 2007. Biochemical characterization and modulation of LH/CG-receptor during human trophoblast differentiation. J. Cell. Physiol. 212: 26-35.

Storage & Stability

Antibody with azide - store at 2 to 8°C. Antibody without azide - store at -20 to -80°C.Antibody is stable for 24 months. Non-hazardous. No MSDS required.

Limitations

This antibody is available for research use only and is not approved for use in diagnosis.

Supplied as

200ug/ml of Ab purified from Bioreactor Concentrate by Protein A/G. Prepared in 10mM PBS with 0.05% BSA & 0.05% azide. Also available WITHOUT BSA & azide at 1.0mg/ml.

Warranty

There are no warranties, expressed or implied, which extend beyond this description. Company is not liable for any personal injury or economic loss resulting from this product.

Reviews

There are no reviews yet.

Be the first to review “Luteinizing Hormone / Choriogonadotropin Receptor (LHCGR) Antibody”

Your email address will not be published. Required fields are marked *

PARTNERSHIP OPPORTUNITIES

NeoBiotechnologies holds Exclusive rights to 10,000 recombinant and hybridoma antibody products, available for Licensing or Collaboration.

LETS TALK