
SDS-PAGE Analysis of Purified Kallikrein 7 Mouse Monoclonal Antibody (KLK7/4692). Confirmation of Purity and Integrity of Antibody.

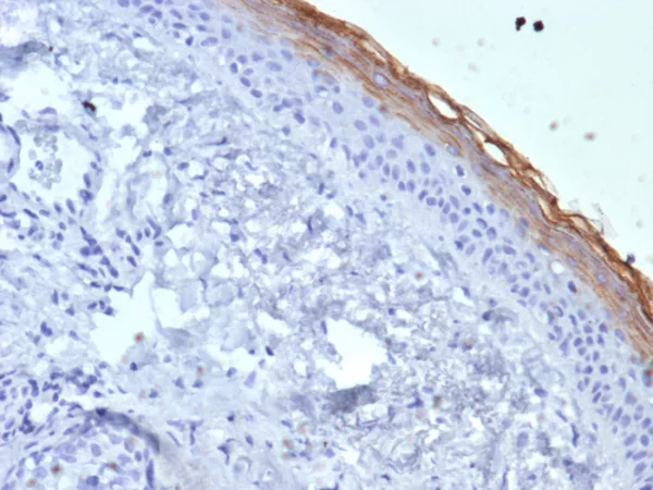
Formalin-fixed, paraffin-embedded human skin stained with Kallikrein 7 Mouse Monoclonal Antibody (KLK7/4692). HIER: Tris/EDTA, pH9.0, 45min. 2°C: HRP-polymer, 30min. DAB, 5min.

Analysis of Protein Array containing more than 19,000 full-length human proteins using Kallikrein 7 Mouse Monoclonal Antibody (KLK7/4692) Z- and S- Score: The Z-score represents the strength of a signal that a monoclonal antibody (MAb) (in combination with a fluorescently-tagged anti-IgG secondary antibody) produces when binding to a particular protein on the HuProtTM array. Z-scores are described in units of standard deviations (SD's) above the mean value of all signals generated on that array. If targets on HuProtTM are arranged in descending order of the Z-score, the S-score is the difference (also in units of SD's) between the Z-score. S-score therefore represents the relative target specificity of a MAb to its intended target. A MAb is considered to specific to its intended target, if the MAb has an S-score of at least 2.5. For example, if a MAb binds to protein X with a Z-score of 43 and to protein Y with a Z-score of 14, then the S-score for the binding of that MAb to protein X is equal to 29.
Kallikreins (KLKs) belong to the serine protease family of proteolytic enzymes. Human pancreatic/renal KLK encodes for the KLK1 enzyme, which is involved in post-translational processing of polypeptide precursors. The function of the other members of KLK gene family is currently unknown, but evidence suggests that many KLKs are implicated in carcinogenesis. The human KLK gene family consists of 15 serine proteases. The human KLK genes are clustered on chromosome 19q13.41. Unlike other kalllikreins, the KLK4-15 encoded proteases are less related and do not contain a conventional KLK loop. Clusters of genes exhibit high prostatic (KLK2-4, KLK15) or pancreatic (KLK6-13) expression. KLK2 is also known as glandular kallikrein 2, tissue kallikrein or HGK-1, and KLK3 is known as prostate-specific antigen (PSA). Both KLK2 and KLK3 have important applications in prostate cancer and breast cancer diagnostics. KLK4, KLK5, KLK9, KLK13, KLK12 and KLK14 have been previously known as KLK-L1, KLK-L2, KLK-L3, KLK-L4, KLK-L5 and KLK-L6, respectively. Many of the KLKs are regulated by steroid hormones and a few of them, specifically KLK3, KLK6 and KLK10, are known to be downregulated in breast and other cancers.
There are no reviews yet.