
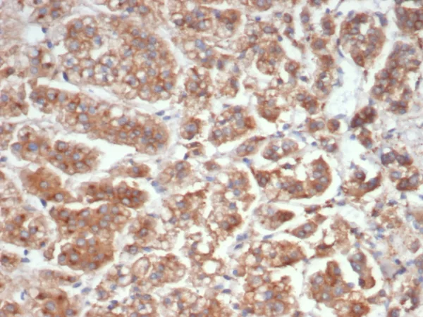
Formalin-fixed, paraffin-embedded human adrenal gland stained with IL-18 Mouse Monoclonal Antibody (IL18/4626). HIER: Tris/EDTA, pH9.0, 45min. 2°C: HRP-polymer, 30min. DAB, 5min.

SDS-PAGE Analysis of Purified IL-18 Mouse Monoclonal Antibody (IL18/4626). Confirmation of Purity and Integrity of Antibody.

Analysis of Protein Array containing more than 19,000 full-length human proteins using IL-18 Mouse Monoclonal Antibody (IL18/4626). Z- and S- Score: The Z-score represents the strength of a signal that a monoclonal antibody (MAb) (in combination with a fluorescently-tagged anti-IgG secondary antibody) produces when binding to a particular protein on the HuProtTM array. Z-scores are described in units of standard deviations (SD's) above the mean value of all signals generated on that array. If targets on HuProtTM are arranged in descending order of the Z-score, the S-score is the difference (also in units of SD's) between the Z-score. S-score therefore represents the relative target specificity of a MAb to its intended target. A MAb is considered to specific to its intended target, if the MAb has an S-score of at least 2.5. For example, if a MAb binds to protein X with a Z-score of 43 and to protein Y with a Z-score of 14, then the S-score for the binding of that MAb to protein X is equal to 29.
Four structurally related IL-1 receptor ligands have been described. These include three agonists designated IL-1α, IL-1β and IL-1γ/IL-18 and a specific receptor antagonist, IL-1Rα. IL-1α and IL-1β play critical roles in the regulation of the immune response and inflammation, serving as activators of T and B lymphocytes and NK (natural killer) cells. IL-18 (also referred to as IL-1γ) has been shown to augment the secretion of IFN-γ from T lymphocytes and increase NK cell activity in spleen cells. IL-18 exhibits 19% and 12% identity with IL-1α and IL-1β respectively over the 12 β-strands of the β-trefoil fold domain, which is a signature feature of the IL-1 family. The unusual leader sequence of IL-18 may be analogous to the IL-1β pro-domain which must be cleaved by the serine protease ICE for optimal secretion and biological activity. Originally described as IGIF (IFN-γ-inducing factor), IL-18 is induced by mouse liver subsequent to challenge with lipopolysaccharide (LPS).
There are no reviews yet.