Helicobacter pylori (Catalase) Antibody [HPYL/7170]

In Stock
Catalog Number Formulation Size Price
MSM10-7170-P0
Purified Ab with BSA and Azide at 200ug/ml
20ug
$259.00
MSM10-7170-P1
Purified Ab with BSA and Azide at 200ug/ml
100ug
$559.00
MSM10-7170-P1ABX
Purified Ab WITHOUT BSA at 1.0mg/ml
100ug
$559.00
Flat Rate Domestic: $95 | Orders outside the US - Contact Us for Order Information | Ships next business day

Applications & Dilutions

Applications Tested Dillution Protocol Note
Immunohistochemistry (IHC)
1-2ug/ml
30 min at RT. Staining of formalin-fixed tissues requires heating tissue sections in 10mM Tris with 1mM EDTA, pH 9.0, for 45 min at 95°C followed by cooling at RT for 20 minutes

Summary

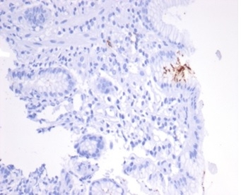
The spiral shaped bacteriumHelicobacter pyloriis strongly associated with inflammation of the stomach and is also implicated in the development of gastric malignancy.H. pyloriis known to cause peptic ulcers and chronic gastritis in human. It is associated with duodenal ulcers and may be involved in development of adenocarcinoma and low-grade lymphoma of mucosa associated lymphoid tissue in the stomach.This antibody stains the individual H. pylori bacterium when it presents on the surface of the epithelium or in the cytoplasm of the epithelial cells in biopsy tissue sections from the antrum and body of the stomach.

Product Properties & Targets

Antibody Type
Host
Mouse
Applications
Species Reactivity
Isotype / Light Chain
IgG2b / Kappa
Cellular Localization
N/A
Gene Name
N/A
Positive Control
Helicobacter pylori infected stomach biopsy
Immunogen
Recombinant Helicobacter pylori Catalase protein fragment (around aa323-445) (Exact sequence is proprietary)
Alternate Names
N/A, N/A, H. pylori

Database Links

Entrez Gene ID
SwissProt
N/A

Additional Information

Clone
HPYL/7170
Chromosome Location
Not Applicable
Mol. Weight of Antigen
58kDa

Functions

  • N/A

Storage & Stability

Antibody with azide - store at 2 to 8 °C. Antibody without azide - store at -20 to -80 °C. Antibody is stable for 24 months. Non-hazardous. No MSDS required.

Limitations

This antibody is available for research use only and is not approved for use in diagnosis.

Supplied as

200ug/ml of Ab purified from Bioreactor Concentrate by Protein A/G. Prepared in 10mM PBS with 0.05% BSA & 0.05% azide. Also available WITHOUT BSA & azide at 1.0mg/ml.

Warranty

There are no warranties, expressed or implied, which extend beyond this description. Company is not liable for any personal injury or economic loss resulting from this product.

Reviews

There are no reviews yet.

Be the first to review “Helicobacter pylori (Catalase) Antibody”

Your email address will not be published. Required fields are marked *

PARTNERSHIP OPPORTUNITIES

NeoBiotechnologies holds Exclusive rights to 10,000 recombinant and hybridoma antibody products, available for Licensing or Collaboration.

LETS TALK