Granulocyte-Colony Stimulating Factor (G-CSF) Antibody [SPM468]

In Stock
Catalog Number Formulation Size Price
1440-MSM1X-P0
Purified Ab with BSA and Azide at 200ug/ml
20ug
$259.00
1440-MSM1X-P1
Purified Ab with BSA and Azide at 200ug/ml
100ug
$559.00
1440-MSM1X-P1ABX
Purified Ab WITHOUT BSA and Azide at 1.0mg/ml
100ug
$559.00
Flat Rate Domestic: $95 | Orders outside the US - Contact Us for Order Information | Ships next business day

Applications & Dilutions

Applications Tested Dillution Protocol Note
Flow Cytometry (Flow)
1-2ug/million cells
Immunofluorescence (IF)
1-3ug/ml
Immunohistochemistry (IHC)
1-2ug/ml
30 min at RT. Staining of formalin-fixed tissues requires heating tissue sections in 10mM Tris with 1mM EDTA, pH 9.0, for 45 min at 95°C followed by cooling at RT for 20 minutes

Summary

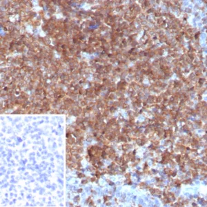
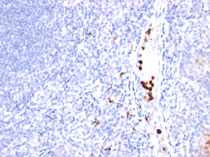
This MAb recognizes granulocyte-colony stimulating factor (G-CSF) in the cytoplasm of mature granulocytes. It shows no reactivity with any other cell types. Markers of myeloid cells are useful in the identification of different levels of cellular differentiation. It reacts with early precursor and mature forms of myeloid cells. It is useful for the detection of myeloid leukemias and granulocytic sarcomas. It can be used as a marker of granulocytes in normal tissues or inflammatory processes.G-CSF is a pleiotropic cytokine that influences differentiation, proliferation and activation of the neutrophilic granulocyte lineage. The human G-CSF cDNA encodes a 207 amino acid precursor containing a 29 amino acid signal peptide that is proteolytically cleaved to form a 178 amino acid residue mature protein. Two G-CSF’s, which are identical except for a three amino acid deletion in the amino-terminus of one form of the protein have been isolated from human cells. Murine and human G-CSF’s share 73% sequence identity at the amino acid level.

Product Properties & Targets

Antibody Type
Host
Mouse
Species Reactivity
Isotype / Light Chain
IgG1 / Kappa
Cellular Localization
Secreted
Gene Name
Positive Control
HL60 cells. Tonsil or lymph node.
Immunogen
Nuclei from pokeweed mitogen stimulated human peripheral blood lymphocytes
Alternate Names
Granulocyte colony-stimulating factor, Pluripoietin, Pluripoietin; Filgrastim; Lenograstim; CSF3OS; G-CSF; chromosome 17 open reading frame 33 (C17orf33); colony stimulating factor 3 (granulocyte)

Database Links

Entrez Gene ID
SwissProt

Additional Information

Clone
SPM468
Chromosome Location
17q21.1
Mol. Weight of Antigen
19kDa

Functions

  • Granulocyte/macrophage colony-stimulating factors are cytokines that act in hematopoiesis by controlling the production, differentiation, and function of 2 related white cell populations of the blood, the granulocytes and the monocytes-macrophages. This CSF induces granulocytes.

Key References

  • Nagata, S., et al. 1986. Molecular cloning and expression of cDNA for human granulocyte colony-stimulating factor. Nature 319: 415-418.

Storage & Stability

Antibody with azide - store at 2 to 8°C. Antibody without azide - store at -20 to -80°C. Antibody is stable for 24 months. Non-hazardous. No MSDS required.

Limitations

This antibody is available for research use only and is not approved for use in diagnosis.

Supplied as

200ug/ml of Ab Purified from Bioreactor Concentrate by Protein A/G. Prepared in 10mM PBS with 0.05% BSA & 0.05% azide. Also available WITHOUT BSA & azide at 1.0mg/ml.

Warranty

There are no warranties, expressed or implied, which extend beyond this description. Company is not liable for any personal injury or economic loss resulting from this product.

Reviews

There are no reviews yet.

Be the first to review “Granulocyte-Colony Stimulating Factor (G-CSF) Antibody”

Your email address will not be published. Required fields are marked *

PARTNERSHIP OPPORTUNITIES

NeoBiotechnologies holds Exclusive rights to 10,000 recombinant and hybridoma antibody products, available for Licensing or Collaboration.

LETS TALK