
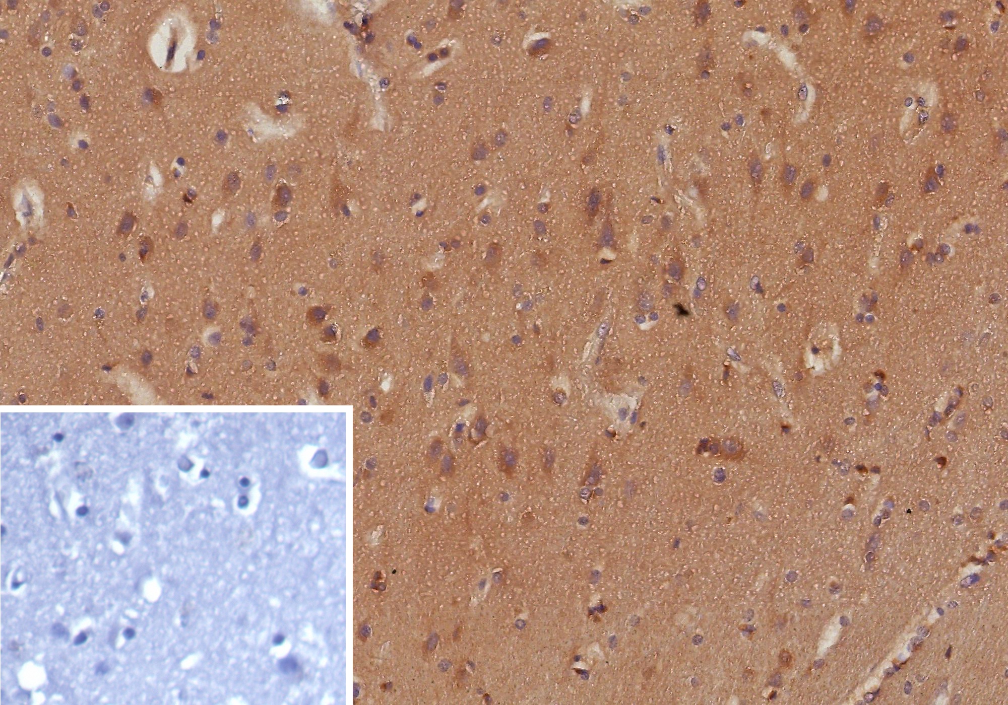
Formalin-fixed, paraffin-embedded human brain stained with FLT3 Mouse Monoclonal Antibody (FLT3/9887). Inset: PBS instead of primary antibody; secondary only negative control.
Stem cell tyrosine kinase (STK-1) has been cloned from a CD34+ hematopoietic stem cell enriched library and identified as the human homolog of a previously identified gene of Mouse origin designated either Flk-2 or Flt-3. The STK-1 cDNA encodes a protein of 993 amino acids with 85% identity to Flt-3/Flk-2. STK-1 is a member of the type III receptor tyrosine kinase family that includes Kit (steel factor receptor), Fms and PDGF. STK-1 expression in blood and marrow is restricted to CD34+ cells, a population greatly enriched for hematopoietic stem/progenitor cells. STK-1 antiserum recognizes two polypeptides in these cells. The Mouse homolog of STK-1, designated Flt-3/Flk-2, is expressed at high levels in hematopoietic cells and also in neural, gonadal, hepatic and placental tissues. It has been suggested that STK-1 and its murine homolog Flt-3/Flk-2 may function as growth factor receptors on hematopoietic stem and/or progenitor cells.
There are no reviews yet.