Cytokeratin 6 (KRT6) (Hyperproliferation-Related Keratin) Antibody [LHK6; same as LHK6B]

In Stock
Catalog Number Formulation Size Price
3853-MSM1-P0
Purified Ab with BSA and Azide at 200ug/ml
20ug
$259.00
3853-MSM1-P1
Purified Ab with BSA and Azide at 200ug/ml
100ug
$559.00
3853-MSM1-P1ABX
Purified Ab WITHOUT BSA and Azide at 1.0mg/ml
100ug
$559.00
Flat Rate Domestic: $95 | Orders outside the US - Contact Us for Order Information | Ships next business day

Applications & Dilutions

Applications Tested Dillution Protocol Note
Flow Cytometry (Flow)
1-2ug/million cells
Immunofluorescence (IF)
1-3ug/ml
Immunohistochemistry (IHC)
1-2ug/ml
30 min at RT. Staining of formalin-fixed tissues requires heating tissue sections in 10mM Tris with 1mM EDTA, pH 9.0, for 45 min at 95°C followed by cooling at RT for 20 minutes

Summary

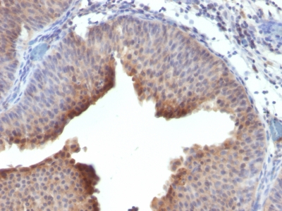
This MAb recognizes a protein of 56kDa, identified as cytokeratin 6 (CK6). In humans, multiple isoforms of Cytokeratin 6 (6A-6F), encoded by several highly homologous genes, have distinct tissue expression patterns, and Cytokeratin 6A is the dominant form in epithelial tissue. The gene encoding human Cytokeratin 6A maps to chromosome 12q13, and mutations in this gene are linked to several inheritable hair and skin pathologies. Keratins 6 and 16 are expressed in keratinocytes, which are undergoing rapid turnover in the suprabasal region (also known as hyper-proliferation-related keratins). Keratin 6 is found in hair follicles, suprabasal cells of a variety of internal stratified epithelia, in epidermis, in both normal and hyper-proliferative situations. Epidermal injury results in activation of keratinocytes, which express CK6 and CK16. CK6 is strongly expressed in about 75% of head and neck squamous cell carcinomas. Expression of CK6 is particularly associated with differentiation.

Product Properties & Targets

Antibody Type
Host
Mouse
Species Reactivity
Isotype / Light Chain
IgG2a / Kappa
Gene Name
Positive Control
Tonsil or basal cell carcinoma
Immunogen
A synthetic peptide of 11 amino acids (GSSTIKYTTTS) from C-terminus of human keratin 6
Alternate Names
Keratin, type II cytoskeletal 6A, Cytokeratin-6A, Cytokeratin-6D, Keratin-6A, Type-II keratin Kb6, CK6A, CK6B, CK6C, CK6D, CK6E, Keratin Type II Cytoskeletal 6A, Keratin Type II Cytoskeletal 6B, Keratin Type II Cytoskeletal 6C, Keratin Type II Cytoskeletal 6D, Keratin Type II Cytoskeletal 6E, KRT6, KRT6A, KRT6B, KRT6C, KRT6D, KRT6E

Database Links

Entrez Gene ID
SwissProt

Additional Information

Clone
LHK6; same as LHK6B
Chromosome Location
12q13.13; 12q13.13; 12q13.13
Mol. Weight of Antigen
56kDa

Functions

  • Epidermis-specific type I keratin involved in wound healing. Involved in the activation of follicular keratinocytes after wounding, while it does not play a major role in keratinocyte proliferation or migration. Participates in the regulation of epithelial migration by inhibiting the activity of SRC during wound repair.

Key References

  • Wetzels RH, et. al. American Journal of Pathology, 1991, 138(3):751-63

Storage & Stability

Antibody with azide - store at 2 to 8 °C. Antibody without azide - store at -20 to -80 °C. Antibody is stable for 24 months. Non-hazardous. No MSDS required.

Limitations

This antibody is available for research use only and is not approved for use in diagnosis.

Supplied as

200ug/ml of Ab purified from Bioreactor Concentrate by Protein A/G. Prepared in 10mM PBS with 0.05% BSA & 0.05% azide. Also available WITHOUT BSA & azide at 1.0mg/ml.

Warranty

There are no warranties, expressed or implied, which extend beyond this description. Company is not liable for any personal injury or economic loss resulting from this product.

Reviews

There are no reviews yet.

Be the first to review “Cytokeratin 6 (KRT6) (Hyperproliferation-Related Keratin) Antibody”

Your email address will not be published. Required fields are marked *

PARTNERSHIP OPPORTUNITIES

NeoBiotechnologies holds Exclusive rights to 10,000 recombinant and hybridoma antibody products, available for Licensing or Collaboration.

LETS TALK