Cytokeratin 10/13 Antibody [SPM262]

In Stock
Catalog Number Formulation Size Price
MSM11X-696-P0
Purified Ab with BSA and Azide at 200ug/ml
20ug
$259.00
MSM11X-696-P1
Purified Ab with BSA and Azide at 200ug/ml
100ug
$559.00
MSM11X-696-P1ABX
Purified Ab WITHOUT BSA and Azide at 1.0mg/ml
100ug
$559.00
Flat Rate Domestic: $95 | Orders outside the US - Contact Us for Order Information | Ships next business day

Applications & Dilutions

Applications Tested Dillution Protocol Note
Flow Cytometry (Flow)
1-2ug/million cells
Immunofluorescence (IF)
1-3ug/ml
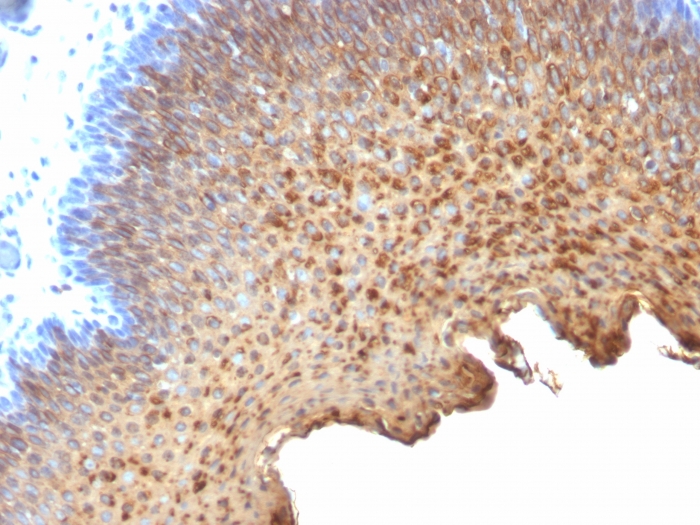
Immunohistochemistry (IHC)
1-2ug/ml
30 min at RT. Staining of formalin-fixed tissues requires heating tissue sections in 10mM Tris with 1mM EDTA, pH 9.0, for 45 min at 95°C followed by cooling at RT for 20 minutes
Western Blot (WB)
2-4ug/ml

Summary

This antibody recognizes cytokeratin 10 (56.5kDa) and cytokeratin 13 (53kDa) in Western blotting. It recognizes only cytokeratin 13 in formalin-fixed, paraffin-embedded tissue sections. It does not react with cytokeratin 10 positive, cytokeratin 13 negative epithelia such as epidermis. However, on frozen sections this MAb serves as differentiation-related marker of all stratified epithelia; it stains all suprabasal cells in both cornifying and non-cornifying stratified epithelia and more differentiated cells of squamous carcinomas.

Product Properties & Targets

Antibody Type
Host
Mouse
Species Reactivity
Isotype / Light Chain
IgG2a / Kappa
Cellular Localization
Cell surface, Extracellular space, Secreted
Gene Name
Positive Control
A431, esophageal or bladder carcinoma., HeLa or MCF7 cells. Human tonsil
Immunogen
Cytoskeletal preparation extracted from human ectocervical epithelium
Alternate Names
Keratin, type I cytoskeletal 10, Cytokeratin-10, Keratin-10, BCIE, BIE, EHK, Keratin Type I Cytoskeletal 10, KRT10, CK13, K13, keratin type I cytoskeletal 13, Keratin-13, Krt1-13, KRT13, Type I keratin Ka13

Database Links

Entrez Gene ID

Additional Information

Clone
SPM262
Chromosome Location
17q21.2 (KRT10 & KRT13)
Mol. Weight of Antigen
56.5kDa (CK10) & 53kDa (CK13)

Functions

  • Plays a role in the establishment of the epidermal barrier on plantar skin.
  • (Microbial infection) Acts as a mediator of S.aureus adherence to desquamated nasal epithelial cells via clfB, and hence may play a role in nasal colonization.
  • (Microbial infection) Binds S.pneumoniae PsrP, mediating adherence of the bacteria to lung cell lines. Reduction of levels of KRT10 keratin decrease adherence, overexpression increases adherence. Neither protein has to be glycosylated for the interaction to occur.

Key References

  • Ivanyi D et. al. Journal of Pathology, 1989, 159:7-12.
  • Ivanyi, D et al. (1992). Am J Vet Res 53, 304-14.
  • Ivanyi, D et al. (1993). Am J Vet Res 54, 1095.

Storage & Stability

Antibody with azide - store at 2 to 8 °C. Antibody without azide - store at -20 to -80 °C. Antibody is stable for 24 months. Non-hazardous. No MSDS required.

Limitations

This antibody is available for research use only and is not approved for use in diagnosis.

Supplied as

200ug/ml of Ab purified from Bioreactor Concentrate by Protein A/G. Prepared in 10mM PBS with 0.05% BSA & 0.05% azide. Also available WITHOUT BSA & azide at 1.0mg/ml.

Warranty

There are no warranties, expressed or implied, which extend beyond this description. Company is not liable for any personal injury or economic loss resulting from this product.

Reviews

There are no reviews yet.

Be the first to review “Cytokeratin 10/13 Antibody”

Your email address will not be published. Required fields are marked *

PARTNERSHIP OPPORTUNITIES

NeoBiotechnologies holds Exclusive rights to 10,000 recombinant and hybridoma antibody products, available for Licensing or Collaboration.

LETS TALK