Cytokeratin 1 (Suprabasal Keratinocyte Marker) Antibody [LHK1]

In Stock
Catalog Number Formulation Size Price
3848-MSM1-P0
Purified Ab with BSA and Azide at 200ug/ml
20ug
$259.00
3848-MSM1-P1
Purified Ab with BSA and Azide at 200ug/ml
100ug
$559.00
3848-MSM1-P1ABX
Purified Ab WITHOUT BSA and Azide at 1.0mg/ml
100ug
$559.00
Flat Rate Domestic: $95 | Orders outside the US - Contact Us for Order Information | Ships next business day

Applications & Dilutions

Applications Tested Dillution Protocol Note
Immunohistochemistry (IHC)
1-2ug/ml
30 min at RT. Staining of formalin-fixed tissues requires heating tissue sections in 10mM Tris with 1mM EDTA, pH 9.0, for 45 min at 95°C followed by cooling at RT for 20 minutes

Summary

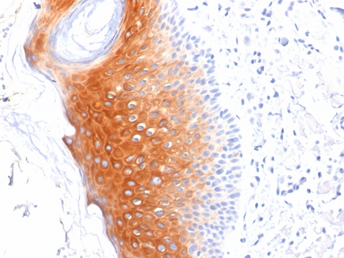
Keratins are a family of intermediate filament proteins that assemble into filaments through forming heterodimers of one type I keratin (keratins 9 to 23) and one type II keratin (keratins 1 to 8). Keratins demonstrate tissue and differentiation specific expression profiles. Cytokeratin 1 is a hetero-tetramer of two type I as well as two type II keratins, keratin-10 (KRT10). Keratin 1 is differentiation specific keratin that is one of the predominant keratins in suprabasal keratinocytes in stratified epithelia. Mutations in keratin 1 cause epidermolytic hyperkeratosis.

Product Properties & Targets

Antibody Type
Host
Mouse
Applications
Species Reactivity
Isotype / Light Chain
IgG2a / Kappa
Cellular Localization
Cell membrane
Gene Name
Positive Control
Skin or Cervix.
Immunogen
A 13-amino acid peptide (VRFVSTSYSGVTR) from the C-terminus of human KRT1 protein
Alternate Names
Keratin, type II cytoskeletal 1, 67 kDa cytokeratin, Cytokeratin-1, Hair alpha protein, Keratin-1, Type-II keratin Kb1, 67kDa Cytokeratin; CK1; Cytokeratin-1; EHK1; Epidermolytic hyperkeratosis 1; EPPK; K1; Keratin Type II Cytoskeletal 1; Keratin-1; KRT1; KRT1A; NEPPK; Type II cytoskeletal 1; Type-II keratin Kb1

Database Links

Entrez Gene ID
SwissProt

Additional Information

Clone
LHK1
Chromosome Location
12q13.13
Mol. Weight of Antigen
~67kDa

Functions

  • May regulate the activity of kinases such as PKC and SRC via binding to integrin beta-1 (ITB1) and the receptor of activated protein C kinase 1 (RACK1). In complex with C1QBP is a high affinity receptor for kininogen-1/HMWK.

Key References

  • Bloor et al. 2003. Am J Pathol. 162(3):963-75.
  • Leigh et al. 1993. Br J Dermatol. 129(2):110-9.
  • Waseem et al. 1999. J Invest Dermatol. 112(3):362-9.
  • Machesney et al. 1998. Am J Pathol. 152(5):1133-41.

PubMed Links

Storage & Stability

Antibody with azide - store at 2 to 8°C. Antibody without azide - store at -20 to -80°C. Antibody is stable for 24 months. Non-hazardous. No MSDS required.

Limitations

This antibody is available for research use only and is not approved for use in diagnosis.

Supplied as

200ug/ml of Ab Purified from Bioreactor Concentrate by Protein A/G. Prepared in 10mM PBS with 0.05% BSA & 0.05% azide. Also available WITHOUT BSA & azide at 1.0mg/ml.

Warranty

There are no warranties, expressed or implied, which extend beyond this description. Company is not liable for any personal injury or economic loss resulting from this product.

Reviews

There are no reviews yet.

Be the first to review “Cytokeratin 1 (Suprabasal Keratinocyte Marker) Antibody”

Your email address will not be published. Required fields are marked *

PARTNERSHIP OPPORTUNITIES

NeoBiotechnologies holds Exclusive rights to 10,000 recombinant and hybridoma antibody products, available for Licensing or Collaboration.

LETS TALK