
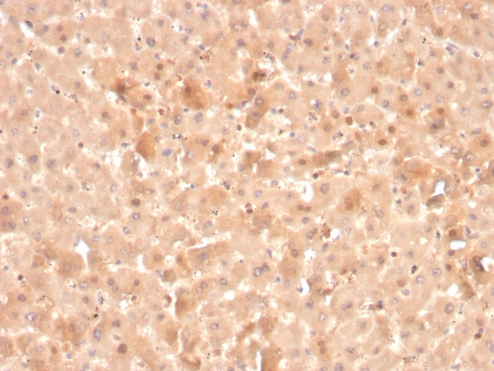
Formalin-fixed, paraffin-embedded human liver stained with Coagulation Factor VII Mouse Monoclonal Antibody (F7/3516).

Formalin-fixed, paraffin-embedded human liver stained with Coagulation Factor VII Mouse Monoclonal Antibody (F7/3516).

SDS-PAGE Analysis Purified Coagulation Factor VII Mouse Monoclonal Antibody (F7/3516). Confirmation of Integrity and Purity of Antibody.

Analysis of Protein Array containing more than 19,000 full-length human proteins using Coagulation Factor VII Mouse Monoclonal Antibody (F7/3516). Z- and S- Score: The Z-score represents the strength of a signal that a monoclonal antibody (MAb) (in combination with a fluorescently-tagged anti-IgG secondary antibody) produces when binding to a particular protein on the HuProtTM array. Z-scores are described in units of standard deviations (SD's) above the mean value of all signals generated on that array. If targets on HuProtTM are arranged in descending order of the Z-score, the S-score is the difference (also in units of SD's) between the Z-score. S-score therefore represents the relative target specificity of a MAb to its intended target. A MAb is considered to specific to its intended target, if the MAb has an S-score of at least 2.5. For example, if a MAb binds to protein X with a Z-score of 43 and to protein Y with a Z-score of 14, then the S-score for the binding of that MAb to protein X is equal to 29.
Hemostasis following tissue injury involves the deployment of essential plasma procoagulants (prothrombin and Factors X, IX, V and VIII), which are involved in a blood coagulation cascade that leads to the formation of insoluble Fibrin clots and the promotion of platelet aggregation. Coagulation Factor VII (serum prothrombin conversion accelerator, proconvertin, F7, Factor VII) is a 406 amino acid, vitamin K-dependent, single chain serine protease that is synthesized in the liver and circulates as an inactive precursor. Factor IX A, Factor X A, Factor XII A or Thrombin-mediated proteolytic cleavage of Factor VII at Arg 152-Ile 153 generates Factor VII A, an active serine protease composed of a catalytic heavy chain disulfide linked to a light chain, containing two EGF-like domains. Mutations at the F7 locus that lead to Factor VII deficiencies are generally asymptomatic or phenotypically uncharacterized, with hemorrhagic diathesis occurring at extremely low levels.
There are no reviews yet.