
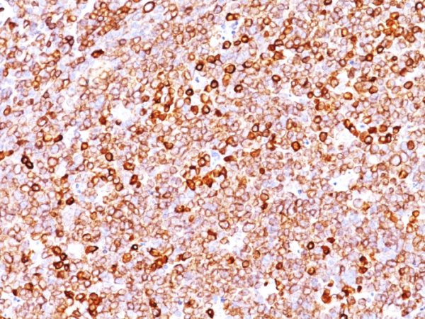
Formalin-fixed, paraffin-embedded human Tonsil stained with CD79a Mouse Monoclonal Antibody (JCB117 + HM47/A9).

Formalin-fixed, paraffin-embedded human Tonsil stained with CD79a Mouse Monoclonal Antibody (JCB117 + HM47/A9).

Western Blot Analysis of human Raji cell lysate using CD79a Mouse Monoclonal Antibody (JCB117 + HM47/A9).

Flow Cytometric Analysis of Raji cells. CD79a Mouse Monoclonal Antibody (JCB117 + HM47/A9) followed by goat anti-Mouse IgG-CF488 (Blue); Isotype Control (Red).
A disulphide-linked heterodimer, consisting of mb-1 (or CD79a) and B29 (or CD79b) polypeptides, is non-covalently associated with membrane-bound immunoglobulins on B cells. This complex of mb-1 and B29 polypeptides and immunoglobulin constitute the B cell Ag receptor. CD79a first appears at pre B cell stage, early in maturation, and persists until the plasma cell stage where it is found as an intracellular component. CD79a is found in the majority of acute leukemias of precursor B cell type, in B cell lines, B cell lymphomas, and in some myelomas. It is not present in myeloid or T cell lines. Anti-CD79a is generally used to complement anti-CD20 especially for mature B-cell lymphomas after treatment with Rituximab (anti-CD20). This antibody will stain many of the same lymphomas as anti-CD20, but also is more likely to stain B-lymphoblastic lymphoma/leukemia than is anti-CD20. Anti-CD79a also stains more cases of plasma cell myeloma and occasionally some types of endothelial cells as well.
There are no reviews yet.