
SDS-PAGE Analysis of Purified CD73 Mouse Monoclonal Antibody (NT5E/4679). Confirmation of Purity and Integrity of Antibody.

Formalin-fixed, paraffin-embedded human tonsil stained with CD73 Mouse Monoclonal Antibody (NT5E/4679). HIER: Tris/EDTA, pH9.0, 45min. 2°C: HRP-polymer, 30min. DAB, 5min.

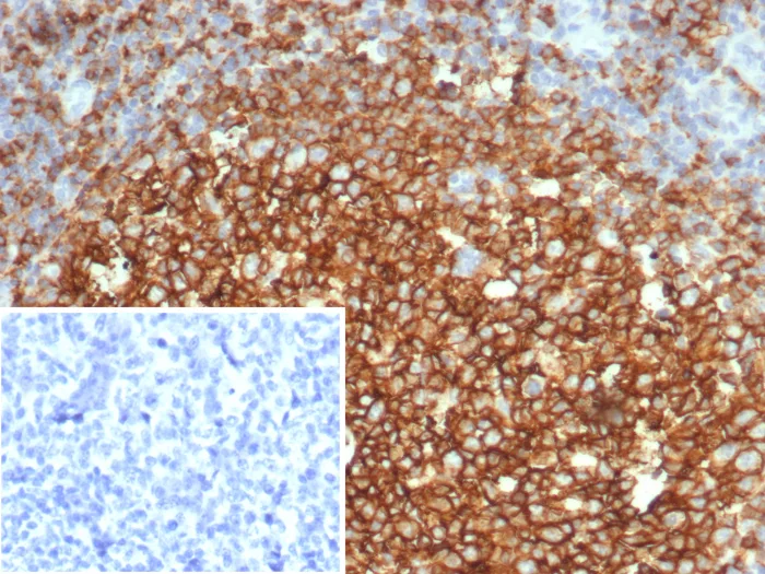
Formalin-fixed, paraffin-embedded human tonsil stained with CD73 Mouse Monoclonal Antibody (NT5E/4679). Inset: PBS instead of primary antibody; secondary only negative control.

Analysis of Protein Array containing more than 19,000 full-length human proteins using CD73-Monospecific Mouse Monoclonal Antibody (CD73/4679). Z- and S- Score: The Z-score represents the strength of a signal that a monoclonal antibody (MAb) (in combination with a fluorescently-tagged anti-IgG secondary antibody) produces when binding to a particular protein on the HuProtTM array. Z-scores are described in units of standard deviations (SD's) above the mean value of all signals generated on that array. If targets on HuProtTM are arranged in descending order of the Z-score, the S-score is the difference (also in units of SD's) between the Z-score. S-score therefore represents the relative target specificity of a MAb to its intended target. A MAb is considered to specific to its intended target, if the MAb has an S-score of at least 2.5. For example, if a MAb binds to protein X with a Z-score of 43 and to protein Y with a Z-score of 14, then the S-score for the binding of that MAb to protein X is equal to 29.
CD73 is a membrane-bound extracellular enzyme overexpressed in several cancer types. Its expression has been linked to poor prognosis in melanoma, colorectal, gastric, triple negative breast cancer, and to a pro-metastatic phenotype in prostate cancer. Together with CD39, it plays a major role in promoting immunosuppression through the pathway degrading adenosine triphosphate (ATP) into adenosine. Within the tumor microenvironment, ATP promotes immune cell-mediated killing of cancer cells. In contrast, adenosine accumulation causes immune suppression, dysregulation of immune cell infiltrates and stimulates angiogenesis resulting in tumor spreading. CD73 is active on the last step of the degradation pathway, where it is the enzyme that actually degrades AMP into adenosine. CD73-blockade promotes anti-tumor immunity by reducing adenosine accumulation. Accordingly, anti-CD73 mAbs stimulate anti-tumor immunity and reduce tumor metastasis in mouse tumor models, and could enhance the efficacy of treatment with anti-PD1 or anti-CTLA4 antibodies.
There are no reviews yet.