
SDS-PAGE Analysis of Purified CD35 Mouse Monoclonal Antibody (CR1/6379). Confirmation of Purity and Integrity of Antibody.

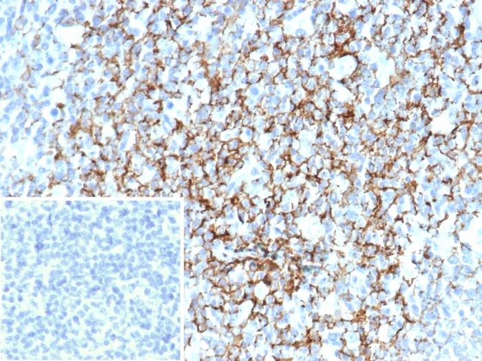
Formalin-fixed, paraffin-embedded human tonsil stained with CD35 Mouse Monoclonal Antibody (CR1/6379) at 2ug/ml. Inset: PBS instead of primary antibody; secondary only negative control.

Analysis of Protein Array containing >19,000 full-length human proteins using Monospecific to CD35 Mouse Monoclonal Antibody (CR1/6379). Z- and S- Score: The Z-score represents the strength of a signal that a monoclonal antibody (MAb) (in combination with a fluorescently-tagged anti-IgG secondary antibody) produces when binding to a particular protein on the HuProtTM array. Z-scores are described in units of standard deviations (SD's) above the mean value of all signals generated on that array. If targets on HuProtTM are arranged in descending order of the Z-score, the S-score is the difference (also in units of SD's) between the Z-score. S-score therefore represents the relative target specificity of a MAb to its intended target. A MAb is considered to specific to its intended target, if the MAb has an S-score of at least 2.5. For example, if a MAb binds to protein X with a Z-score of 43 and to protein Y with a Z-score of 14, then the S-score for the binding of that MAb to protein X is equal to 29.
CD35, complement receptor 1, is a cell membrane-bound, monomeric glycoprotein on numerous cell types including erythrocytes, leukocytes, glomerular podocytes, and follicular dendritic cells. The primary function of CD35 is to serve as the cellular receptor for C3b and C4b, the most important components of the complement system leading to clearance of foreign macromolecules.CD35 antigen is found on erythrocytes, B cells, a subset of T cells, monocytes, as well as eosinophils, and neutrophils. Anti-CD35 is considered a mature B-cell marker which labels follicular dendritic reticulum cells and tumors derived from such cells such as follicular dendritic cell tumor/sarcoma.
There are no reviews yet.