CD34 (Hematopoietic Stem Cell & Endothelial Marker) Antibody [HPCA1/763]

In Stock
Catalog Number Formulation Size Price
947-MSM3-P0
Purified Ab with BSA and Azide at 200ug/ml
20ug
$259.00
947-MSM3-P1
Purified Ab with BSA and Azide at 200ug/ml
100ug
$559.00
947-MSM3-P1ABX
Purified Ab WITHOUT BSA at 1.0mg/ml
100ug
$559.00
Flat Rate Domestic: $95 | Orders outside the US - Contact Us for Order Information | Ships next business day

Applications & Dilutions

Applications Tested Dillution Protocol Note
Immunohistochemistry (IHC)
1-2ug/ml
30 min at RT. Staining of formalin-fixed tissues requires heating tissue sections in 10mM Tris with 1mM EDTA, pH 9.0, for 45 min at 95°C followed by cooling at RT for 20 minutes

Summary

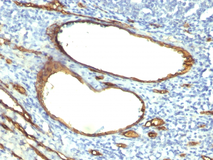
This MAb recognizes a single chain, transmembrane, heavily glycosylated protein of 90-120kDa, which is identified as CD34. Its expression is a hallmark for identifying pluripotent hematopoietic stem or progenitor cells. Its expression is gradually lost as lineage committed progenitors differentiate. CD34 is a marker of choice for staining blasts in acute myeloid leukemia. In addition, CD34 is expressed by soft tissue tumors, such as solitary fibrous tumor and gastrointestinal stromal tumor. Its expression is also found in vascular endothelium. Additionally, it appears that proliferating endothelial cells express this molecule more than the non-proliferating endothelial cells. Anti-CD34 labels 85% of angiosarcoma and Kaposi's sarcoma, but with a lower specificity.

Product Properties & Targets

Antibody Type
Host
Mouse
Applications
Species Reactivity
Isotype / Light Chain
IgG1 / Lambda
Cellular Localization
Membrane
Gene Name
Positive Control
KG-1 cells. Human tonsil or angiosarcoma.
Immunogen
Recombinant full-length human HPCA1 protein
Alternate Names
Hematopoietic progenitor cell antigen CD34, Hematopoietic Progenitor Cell Antigen, HPCA1, Mucosialin

Database Links

Entrez Gene ID
947
SwissProt

Additional Information

Clone
HPCA1/763
Chromosome Location
1q32.2
Mol. Weight of Antigen
90-110kDa

Functions

  • Possible adhesion molecule with a role in early hematopoiesis by mediating the attachment of stem cells to the bone marrow extracellular matrix or directly to stromal cells. Could act as a scaffold for the attachment of lineage specific glycans, allowing stem cells to bind to lectins expressed by stromal cells or other marrow components. Presents carbohydrate ligands to selectins.

Key References

  • Felshow DM et al. Blood 97:3768-3775 (2001).
  • Sato T et al. Blood 94:2548-2554 (1999).

Storage & Stability

Antibody with azide - store at 2 to 8°C. Antibody is stable for 24 months. Non-hazardous. No MSDS required.

Limitations

This antibody is available for research use only and is not approved for use in diagnosis.

Supplied as

200ug/ml of Ab Purified from Bioreactor Concentrate by Protein A/G. Prepared in 10mM PBS with 0.05% BSA & 0.05% azide. Also available WITHOUT BSA at 1.0mg/ml.

Warranty

There are no warranties, expressed or implied, which extend beyond this description. Company is not liable for any personal injury or economic loss resulting from this product.

Reviews

There are no reviews yet.

Be the first to review “CD34 (Hematopoietic Stem Cell & Endothelial Marker) Antibody”

Your email address will not be published. Required fields are marked *

PARTNERSHIP OPPORTUNITIES

NeoBiotechnologies holds Exclusive rights to 10,000 recombinant and hybridoma antibody products, available for Licensing or Collaboration.

LETS TALK