
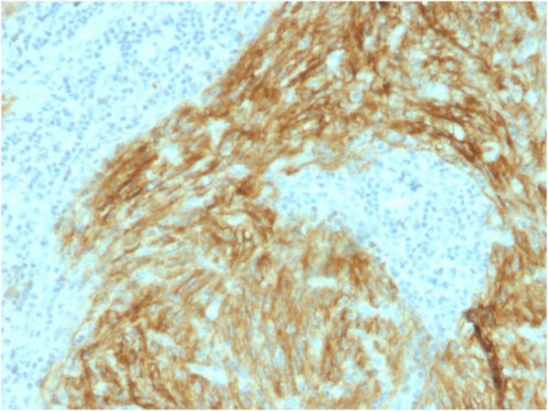
Formalin-fixed, paraffin-embedded human Follicular Dendritic Cell Sarcoma stained with CD21 / CR2 Mouse Monoclonal Antibody (CR2/1952).

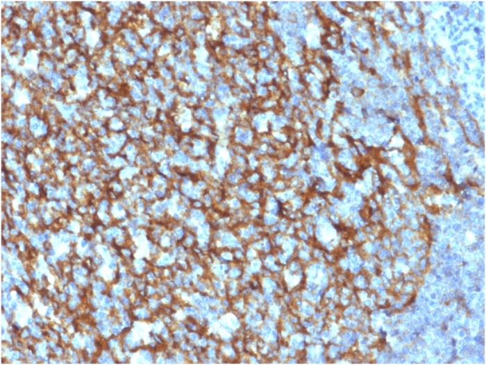
Formalin-fixed, paraffin-embedded human Tonsil stained with CD21 / CR2 Mouse Monoclonal Antibody (CR2/1952).

SDS-PAGE Analysis of Purified CD21 / CR2 Mouse Monoclonal Antibody (CR2/1952). Confirmation of Integrity and Purity of Antibody.

Analysis of Protein Array containing more than 19,000 full-length human proteins using CD21 Mouse Monoclonal Antibody (CR2/1952) Z- and S- Score: The Z-score represents the strength of a signal that a monoclonal antibody (MAb) (in combination with a fluorescently-tagged anti-IgG secondary antibody) produces when binding to a particular protein on the HuProtTM array. Z-scores are described in units of standard deviations (SD’s) above the mean value of all signals generated on that array. If targets on HuProtTM are arranged in descending order of the Z-score, the S-score is the difference (also in units of SD’s) between the Z-score. S-score therefore represents the relative target specificity of a MAb to its intended target. A MAb is considered to specific to its intended target, if the MAb has an S-score of at least 2.5. For example, if a MAb binds to protein X with a Z-score of 43 and to protein Y with a Z-score of 14, then the S-score for the binding of that MAb to protein X is equal to 29.
Recognizes a protein of 140kDa, which is identified as the complement receptor 2 (CR2) / CD21. This protein is expressed strongly on mature B cells, follicular dendritic cells and weakly on immature thymocytes and T lymphocytes. In B-cell ontogeny, CD21 appears after the pre-B-stage, is maintained during peripheral B-cell development and is lost upon terminal differentiation into plasma cells. CD21 expression is also gradually lost after stimulation of B cells in vitro. CD21 functions as receptor for C3d, C3dg and iC3b Complement components, for EBV and for IFNalpha. CD21 binds to CD23 and associates with CD19, CD81 and Leu13 to form a large signal-transduction complex involved in B cell activation.
There are no reviews yet.