
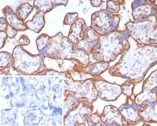
Formalin-fixed, paraffin-embedded human placenta stained with CD147 Mouse Monoclonal Antibody (BSG/7951). Inset: PBS instead of primary antibody; secondary only negative control.

Formalin-fixed, paraffin-embedded human renal cell carcinoma stained with CD147 Mouse Monoclonal Antibody (BSG/7951) at 2ug/ml. HIER: Tris/EDTA, pH9.0, 45min. 2°C: HRP-polymer, 30min. DAB, 5min.

Analysis of Protein Array containing more than 19,000 full-length human proteins using CD147 Mouse Monoclonal Antibody (BSG/7951). Z- and S- Score: The Z-score represents the strength of a signal that a monoclonal antibody (MAb) (in combination with a fluorescently-tagged anti-IgG secondary antibody) produces when binding to a particular protein on the HuProtTM array. Z-scores are described in units of standard deviations (SD's) above the mean value of all signals generated on that array. If targets on HuProtTM are arranged in descending order of the Z-score, the S-score is the difference (also in units of SD's) between the Z-score. S-score therefore represents the relative target specificity of a MAb to its intended target. A MAb is considered to specific to its intended target, if the MAb has an S-score of at least 2.5. For example, if a MAb binds to protein X with a Z-score of 43 and to protein Y with a Z-score of 14, then the S-score for the binding of that MAb to protein X is equal to 29.
This MAb recognizes extracellular epitope 2 within the N-terminal Ig domain of human CD147. It is expressed more intensely on thymocytes than on mature peripheral blood T cells. CD147 is important in spermatogenesis, embryo implantation, neural network formation, and tumor progression. It stimulates the production of interstitial collagenase, gelatinase A, stromelysin-1 and various metalloproteinases (MMPs) by fibroblasts. These enzymes are important factors in cancer invasion and metastasis.
There are no reviews yet.