
Formalin-fixed, paraffin-embedded human thyroid stained with Calcitonin Mouse Monoclonal Antibody (CALCA/3310). HIER: Tris/EDTA, pH9.0, 45min. 2 °: HRP-polymer, 30min. DAB, 5min.

Formalin-fixed, paraffin-embedded human thyroid stained with Calcitonin Mouse Monoclonal Antibody (CALCA/3310). Inset: PBS instead of primary antibody; secondary only negative control.

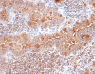
Formalin-fixed, paraffin-embedded human thyroid stained with Calcitonin Mouse Monoclonal Antibody (CALCA/3310). HIER: Tris/EDTA, pH9.0, 45min. 2 °: HRP-polymer, 30min. DAB, 5min.

Analysis of Protein Array containing more than 19,000 full-length human proteins using Calcitonin Mouse Monoclonal Antibody (CALCA/3310). Z- and S- Score: The Z-score represents the strength of a signal that a monoclonal antibody (MAb) (in combination with a fluorescently-tagged anti-IgG secondary antibody) produces when binding to a particular protein on the HuProtTM array. Z-scores are described in units of standard deviations (SD's) above the mean value of all signals generated on that array. If targets on HuProtTM are arranged in descending order of the Z-score, the S-score is the difference (also in units of SD's) between the Z-score. S-score therefore represents the relative target specificity of a MAb to its intended target. A MAb is considered to specific to its intended target, if the MAb has an S-score of at least 2.5. For example, if a MAb binds to protein X with a Z-score of 43 and to protein Y with a Z-score of 14, then the S-score for the binding of that MAb to protein X is equal to 29.
Calcitonin is a 32 amino acid polypeptide hormone that preserves skeletal integrity and reduces blood calcium levels by decreasing osteoclast activity in bones, calcium and phosphate reabsorption by kidney tubules and calcium absorption by the intestines. The secretion of Calcitonin from the thyroid is regulated in part by estrogen, which increases Calcitonin mRNA levels. The Calcitonin gene, CALCA, undergoes tissue-specific RNA alternative splicing, resulting in the production of different mRNA transcripts. One transcript encodes procalcitonin as well as both calcium-lowering processed active polypeptides, Calcitonin and katacalcin. An alternative transcript of CALCA encodes the precursor for the neuropeptide referred to as Calcitonin generelated peptide 1, also designated CGRP1 or 伪-CGRP. CGRP is a widely distributed vasodilatory peptide. Calcitonin and katacalcin are produced primarily in the thyroid, while CGRP is produced in neuronal cells. A second CGRP related gene, CALCB, thought to be derived from an gene duplication event, has been identified in mouse, rat and human. Unlike CALCA, CALCB is not subject to alternative splicing and encodes a single transcript designated CGRP2 or 尾-CGRP. Mature CGRP1 and CGRP2 share significant sequence identity at the protein level differing by only 1-3 amino acid residues, depending on the species.
There are no reviews yet.