Bromodeoxyuridine (BrdU) (Proliferation Marker) Antibody [BRD469 + BRD494 + BRD.3]

In Stock
Catalog Number Formulation Size Price
MSM7-1000-P0
Purified Ab with BSA and Azide at 200ug/ml
20ug
$259.00
MSM7-1000-P1
Purified Ab with BSA and Azide at 200ug/ml
100ug
$559.00
MSM7-1000-P1ABX
Purified Ab WITHOUT BSA and Azide at 1.0mg/ml
100ug
$559.00
Flat Rate Domestic: $95 | Orders outside the US - Contact Us for Order Information | Ships next business day

Applications & Dilutions

Applications Tested Dillution Protocol Note
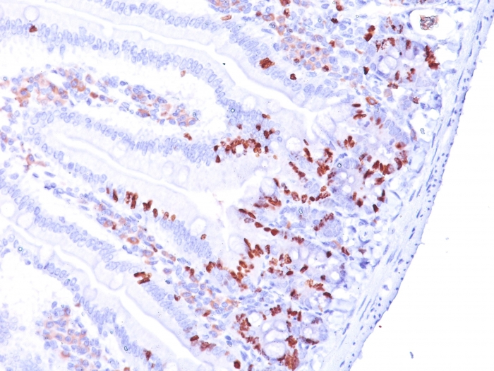
Immunohistochemistry (IHC)
1-2ug/ml
30 min at RT. Staining of formalin-fixed tissues requires heating tissue sections in 10mM Tris with 1mM EDTA, pH 9.0, for 45 min at 95°C followed by cooling at RT for 20 minutes

Summary

It reacts with Bromodeoxyuridine (BrdU) in single stranded DNA (produced by partial denaturation of double stranded DNA), BrdU coupled to a protein carrier, as well as free BrdU. BrdU is a thymidine analog, incorporated into cell nuclei during DNA synthesis prior to mitosis. Antibody to BrdU is helpful in detecting S-phase cells, providing useful information on the aggressiveness of tumors.

Product Properties & Targets

Antibody Type
Host
Mouse
Applications
Species Reactivity
Isotype / Light Chain
IgG1 / Kappa
Cellular Localization
N/A
Gene Name
N/A
Positive Control
Cells grown in presence of BrdU or tissues from experimental animals injected with BrdU.
Immunogen
Bromodeoxyuridine (BrdU) conjugated to BSA or KLH
Alternate Names
N/A, N/A, Bromodeoxyuridine, BUdr

Database Links

Entrez Gene ID
SwissProt
N/A

Additional Information

Clone
BRD469 + BRD494 + BRD.3
Mol. Weight of Antigen
Depends on the target

Functions

  • N/A

Key References

  • Welberg JW et. al. Journal of Clinical Pathology, 1990, 43(6):453-6.
  • Williams LS et. al. Cytometry, 1990, 11(4):490-7.

Storage & Stability

Antibody with azide - store at 2 to 8°C. Antibody without azide - store at -20 to -80°C. Antibody is stable for 24 months. Non-hazardous. No MSDS required.

Limitations

This antibody is available for research use only and is not approved for use in diagnosis.

Supplied as

200ug/ml of Ab Purified from Bioreactor Concentrate by Protein A/G. Prepared in 10mM PBS with 0.05% BSA & 0.05% azide. Also available WITHOUT BSA & azide at 1.0mg/ml.

Warranty

There are no warranties, expressed or implied, which extend beyond this description. Company is not liable for any personal injury or economic loss resulting from this product.

Reviews

There are no reviews yet.

Be the first to review “Bromodeoxyuridine (BrdU) (Proliferation Marker) Antibody”

Your email address will not be published. Required fields are marked *

PARTNERSHIP OPPORTUNITIES

NeoBiotechnologies holds Exclusive rights to 10,000 recombinant and hybridoma antibody products, available for Licensing or Collaboration.

LETS TALK