
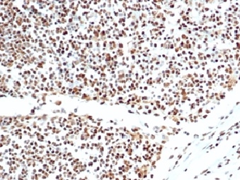
Formalin-fixed, paraffin-embedded human lymph node stained with XRCC5 / Ku86 / Ku80 Mouse Monoclonal Antibody (XRCC5/7317). HIER: Tris/EDTA, pH9.0, 45min. 2 °: HRP-polymer, 30min. DAB, 5min.

Formalin-fixed, paraffin-embedded human kidney stained with XRCC5 / Ku86 / Ku80 Mouse Monoclonal Antibody (XRCC5/7317). HIER: Tris/EDTA, pH9.0, 45min. 2 °: HRP-polymer, 30min. DAB, 5min.

Western blot analysis of MOLT-4 and HEK293 cell lysates using XRCC5 / Ku86 / Ku80 Mouse Monoclonal Antibody (XRCC5/7317).

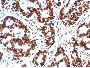
Formalin-fixed, paraffin-embedded human colon carcinoma stained with XRCC5 / Ku86 / Ku80 Mouse Monoclonal Antibody (XRCC5/7317). HIER: Tris/EDTA, pH9.0, 45min. 2 °: HRP-polymer, 30min. DAB, 5min.
The Ku protein is localized in the nucleus and is composed of subunits referred to as Ku-70 (or p70) and Ku-86 or (p86) which is also known by the synonym Ku-80 or (p80). Ku was first described as an autoantigen to which antibodies were produced in a patient with scleroderma-polymyositis overlap syndrome, and was later found in the sera of patients with other rheumatic diseases. Ku has several functions, including cell signaling, DNA replication and transcriptional activation. Ku is involved in Pol II-directed transcription by virtue of its DNA binding activity; serving as the regulatory component of the DNA-associated protein kinase that phosphorylates Pol II and transcription factor Sp. Ku proteins also activate transcription from the U1 small nuclear RNA and the human transferrin receptor gene promoters.
There are no reviews yet.