
Formalin-fixed, paraffin-embedded human Cervical Carcinoma stained with Thrombomodulin/CD141 Monoclonal Antibody (THBD/1591).

Western Blot Analysis (A) Recombinant Protein (B) THP1 cell lysate Using Thrombomodulin/CD141 Monoclonal Antibody (THBD/1591).

Formalin-fixed, paraffin-embedded human Bladder Carcinoma stained with Thrombomodulin Monoclonal/CD141 Antibody (THBD/1591).

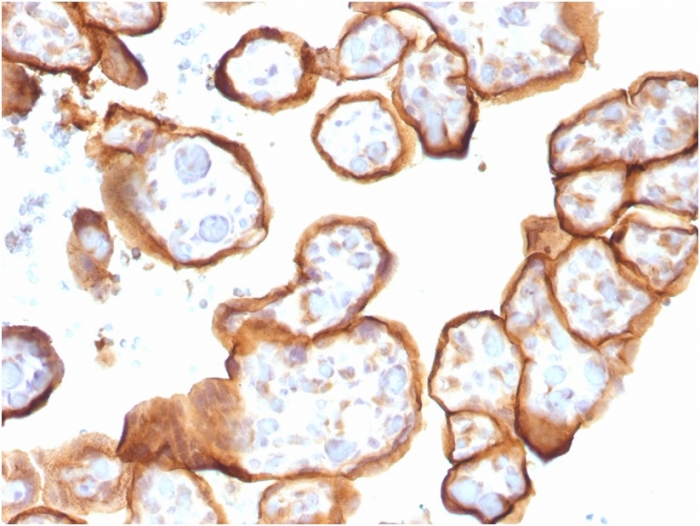
Formalin-fixed, paraffin-embedded human Placenta stained with Thrombomodulin/CD141 Monoclonal Antibody (THBD/1591).

SDS-PAGE Analysis Purified Thrombomodulin Monoclonal/CD141 Antibody (THBD/1591). Confirmation of Purity and Integrity of Antibody.

Analysis of Protein Array containing >19,000 full-length human proteins using Thrombomodulin/CD141 Mouse Monoclonal Antibody (THBD/1591) Z- and S- Score: The Z-score represents the strength of a signal that a monoclonal antibody (MAb) (in combination with a fluorescently-tagged anti-IgG secondary antibody) produces when binding to a particular protein on the HuProtTM array. Z-scores are described in units of standard deviations (SD's) above the mean value of all signals generated on that array. If targets on HuProtTM are arranged in descending order of the Z-score, the S-score is the difference (also in units of SD's) between the Z-score. S-score therefore represents the relative target specificity of a MAb to its intended target. A MAb is considered to specific to its intended target, if the MAb has an S-score of at least 2.5. For example, if a MAb binds to protein X with a Z-score of 43 and to protein Y with a Z-score of 14, then the S-score for the binding of that MAb to protein X is equal to 29.
It recognizes a protein of 75kDa, identified as Thrombomodulin. Thrombomodulin is a transmembrane glycoprotein with natural anticoagulant properties. It is normally expressed by a restricted number of cells, such as endothelial and mesothelial cells. In addition, synovial lining and syncytio-trophoblasts of placenta also express thrombomodulin. This protein is present in almost all of benign vascular tumors and majority of malignant vascular tumors (Kaposi’s sarcoma, angiosarcoma, and epithelioid hemangioendothelioma). Hence, anti-thrombomodulin serves as a sensitive marker for lymphatic endothelial cells and their tumors. Recently, thrombomodulin antibody has been used for mesothelial cells and malignant mesotheliomas.
There are no reviews yet.