
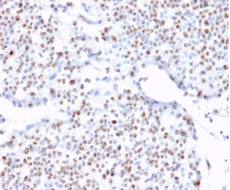
Formalin-fixed, paraffin-embedded human bladder stained with TCF4 Mouse Monoclonal Antibody (TCF4/1705) at 2ug/ml. HIER: Tris/EDTA, pH9.0, 45min. 2°C: HRP-polymer, 30min. DAB, 5min.

SDS-PAGE Analysis of Purified TCF4 Mouse Monoclonal Antibody (TCF4/1705). Confirmation of Purity and Integrity of Antibody.

Western blot analysis of 1) HeLa and (2) HepG2 cell lysates using TCF4 Mouse Monoclonal Antibody (TCF4/1705).

Analysis of Protein Array containing more than 19,000 full-length human proteins using TCF4-Monospecific Mouse Monoclonal Antibody (TCF4/1705). Z- and S- Score: The Z-score represents the strength of a signal that a monoclonal antibody (MAb) (in combination with a fluorescently-tagged anti-IgG secondary antibody) produces when binding to a particular protein on the HuProtTM array. Z-scores are described in units of standard deviations (SD's) above the mean value of all signals generated on that array. If targets on HuProtTM are arranged in descending order of the Z-score, the S-score is the difference (also in units of SD's) between the Z-score. S-score therefore represents the relative target specificity of a MAb to its intended target. A MAb is considered to specific to its intended target, if the MAb has an S-score of at least 2.5. For example, if a MAb binds to protein X with a Z-score of 43 and to protein Y with a Z-score of 14, then the S-score for the binding of that MAb to protein X is equal to 29.
Recognizes a protein of 71kDa, identified as Transcription Factor 4 (TCF4). It is a basic helix-loop-helix transcription factor. The encoded protein recognizes an Ephrussi-box (‘E-box’) binding site (‘CANNTG’) – a motif first identified in immunoglobulin enhancers. This gene is broadly expressed and may play an important role in nervous system development. Defects in this gene are a cause of Pitt-Hopkins syndrome.
There are no reviews yet.