
Formalin-fixed, paraffin-embedded human Colon Carcinoma stained with TACSTD2-Monospecific Mouse Monoclonal Antibody (TACSTD2/2153).

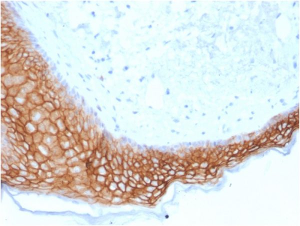
Formalin-fixed, paraffin-embedded human Basal Cell Carcinoma stained with TACSTD2-Monospecific Mouse Monoclonal Antibody (TACSTD2/2153).

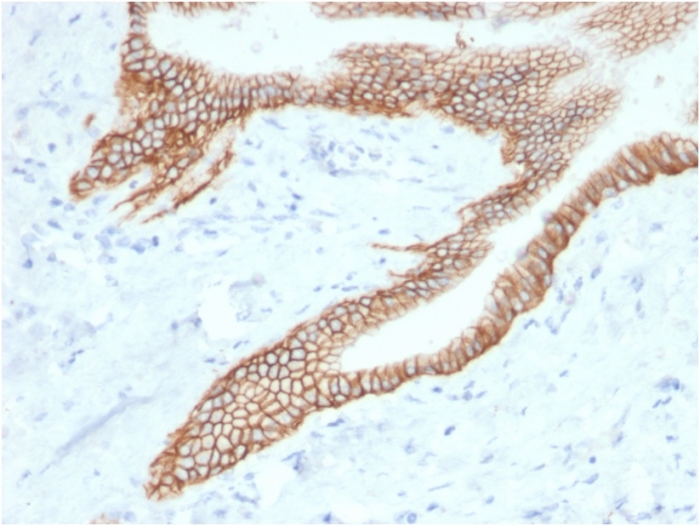
Formalin-fixed, paraffin-embedded human Pancreatic Carcinoma stained with TACSTD2-Monospecific Mouse Monoclonal Antibody (TACSTD2/2153).

Formalin-fixed, paraffin-embedded human Pancreatic Carcinoma stained with TACSTD2-Monospecific Mouse Monoclonal Antibody (TACSTD2/2153).

SDS-PAGE Analysis Purified TACSTD2-Monospecific Mouse Monoclonal Antibody (TACSTD2/2153). Confirmation of Integrity and Purity of Antibody.

Analysis of Protein Array containing >19,000 full-length human proteins using TACSTD2-Monospecific Mouse Monoclonal Antibody (TACSTD2/2153) Z- and S- Score: The Z-score represents the strength of a signal that a monoclonal antibody (MAb) (in combination with a fluorescently-tagged anti-IgG secondary antibody) produces when binding to a particular protein on the HuProtTM array. Z-scores are described in units of standard deviations (SD's) above the mean value of all signals generated on that array. If targets on HuProtTM are arranged in descending order of the Z-score, the S-score is the difference (also in units of SD's) between the Z-score. S-score therefore represents the relative target specificity of a MAb to its intended target. A MAb is considered to specific to its intended target, if the MAb has an S-score of at least 2.5. For example, if a MAb binds to protein X with a Z-score of 43 and to protein Y with a Z-score of 14, then the S-score for the binding of that MAb to protein X is equal to 29.
TACSTD2 is a cell surface glycoprotein receptor. It is a single pass type I membrane protein containing one thyroglobulin type-1 domain, an epidermal growth factor-like repeat, a phosphatidylinositol binding site and tyrosine phosphorylation sites near the C-terminus. It plays a role in transducing intracellular calcium signals. It is expressed in trophoblast cells, cornea and multi-stratified epithelia. It is also highly expressed in several types of tumors and is involved in regulating the growth of carcinoma cells.
There are no reviews yet.