Sex Hormone Binding Globulin (SHBG) Antibody [SHBG/245]

In Stock
Catalog Number Formulation Size Price
6462-MSM1-P0
Purified Ab with BSA and Azide at 200ug/ml
20ug
$259.00
6462-MSM1-P1
Purified Ab with BSA and Azide at 200ug/ml
100ug
$559.00
6462-MSM1-P1ABX
Purified Ab WITHOUT BSA and Azide at 1.0mg/ml
100ug
$559.00
Flat Rate Domestic: $95 | Orders outside the US - Contact Us for Order Information | Ships next business day

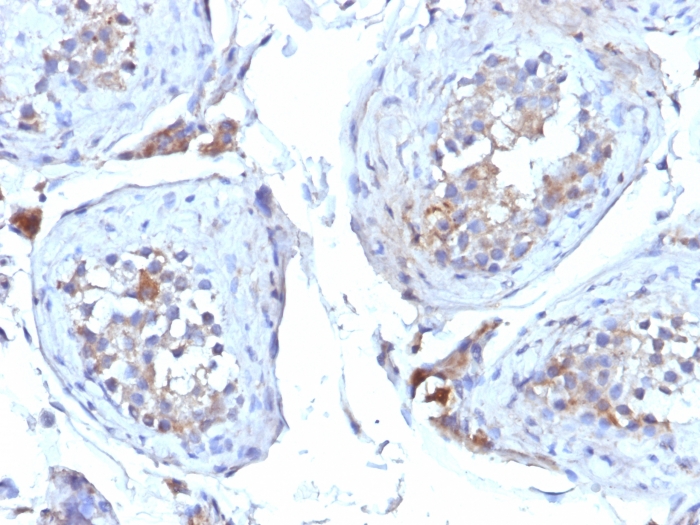
Applications & Dilutions

Applications Tested Dillution Protocol Note
Immunohistochemistry (IHC)
1-2ug/ml
30 min at RT. Staining of formalin-fixed tissues requires heating tissue sections in 10mM Tris with 1mM EDTA, pH 9.0, for 45 min at 95°C followed by cooling at RT for 20 minutes

Summary

Recognizes a protein of 45kDa, identified as SHBG. It functions as an androgen transport protein, but may also be involved in receptor-mediated processes. Each dimer binds one molecule of steroid. It is specific for 5-alpha-dihydrotestosterone, testosterone, and 17-beta-estradiol. SHBG regulates the plasma metabolic clearance rate of steroid hormones by controlling their plasma concentration. In testis, it is synthesized by the Sertoli cells, secreted into the lumen of the seminiferous tubule and transported to the epididymis.

Product Properties & Targets

Antibody Type
Host
Mouse
Applications
Species Reactivity
Research Areas
Isotype / Light Chain
IgG1 / Kappa
Cellular Localization
Secreted
Gene Name
Positive Control
Liver, Placenta or Testis.
Immunogen
Recombinant full-length human SHBG protein
Alternate Names
Sex hormone-binding globulin, Sex steroid-binding protein, Testis-specific androgen-binding protein, Testosterone-estradiol-binding globulin, Testosterone-estrogen-binding globulin, Androgen binding protein (ABP); Sex hormone-binding globulin (SHBG); Sex steroid binding protein (SBP); Sex steroid-binding protein; Testis-specific androgen-binding protein; Testosterone binding beta globulin; Testosterone-Estradiol-Binding Globulin (TEBG)

Database Links

Entrez Gene ID
SwissProt

Additional Information

Clone
SHBG/245
Chromosome Location
17p13.1
Mol. Weight of Antigen
45kDa

Functions

  • Functions as an androgen transport protein, but may also be involved in receptor mediated processes. Each dimer binds one molecule of steroid. Specific for 5-alpha-dihydrotestosterone, testosterone, and 17-beta-estradiol. Regulates the plasma metabolic clearance rate of steroid hormones by controlling their plasma concentration.

Key References

  • Grishkovskaya, I., et al. 2000. Crystal structure of human sex hormone-binding globulin: steroid transport by a laminin G-like domain. EMBO. J. 19: 504-512.

Storage & Stability

Antibody with azide - store at 2 to 8°C. Antibody without azide - store at -20 to -80°C. Antibody is stable for 24 months. Non-hazardous. No MSDS required.

Limitations

This antibody is available for research use only and is not approved for use in diagnosis.

Supplied as

200ug/ml of Ab Purified from Bioreactor Concentrate by Protein A/G. Prepared in 10mM PBS with 0.05% BSA & 0.05% azide. Also available WITHOUT BSA & azide at 1.0mg/ml.

Warranty

There are no warranties, expressed or implied, which extend beyond this description. Company is not liable for any personal injury or economic loss resulting from this product.

Reviews

There are no reviews yet.

Be the first to review “Sex Hormone Binding Globulin (SHBG) Antibody”

Your email address will not be published. Required fields are marked *

PARTNERSHIP OPPORTUNITIES

NeoBiotechnologies holds Exclusive rights to 10,000 recombinant and hybridoma antibody products, available for Licensing or Collaboration.

LETS TALK