Recombinant SDHB (Succinate Dehydrogenase B) (Pheochromocytoma Marker) Antibody [SDHB/8974R]

In Stock
Catalog Number Formulation Size Price
6390-RBM9-P0
Purified Ab with BSA and Azide at 200ug/ml
20ug
$259.00
6390-RBM9-P1
Purified Ab with BSA and Azide at 200ug/ml
100ug
$559.00
6390-RBM9-P1ABX
Purified Ab WITHOUT BSA and Azide at 1.0mg/ml
100ug
$559.00
Flat Rate Domestic: $95 | Orders outside the US - Contact Us for Order Information | Ships next business day

Applications & Dilutions

Applications Tested Dillution Protocol Note
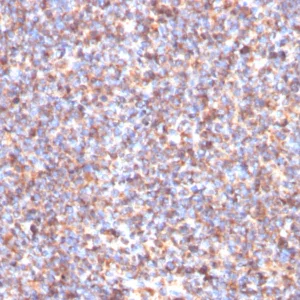
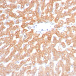
Immunohistochemistry (IHC)
1-2ug/ml
30 min at RT. Staining of formalin-fixed tissues requires heating tissue sections in 10mM Tris with 1mM EDTA, pH 9.0, for 45 min at 95°C followed by cooling at RT for 20 minutes
Western Blot (WB)
2-4ug/ml

Summary

Succinate dehydrogenase B (SDHB) is an iron-sulfur subunit of mitochondrial complex II, a key component of the citric acid cycle and the electron transport chain, a respiratory complex that catalyzes the oxidation of succinate in the mitochondrial membrane.Many cancers are generally positive for SDHB, including renal cell carcinomas and gastrointestinal stromal tumors. A subset of RCC and GIST tumors that are associated with SDH mutations, Carney-Stratakis Syndrome or Carney Triad exhibit a loss of SDHB expression.

Product Properties & Targets

Host
Rabbit
Species Reactivity
Isotype / Light Chain
IgG / Kappa
Cellular Localization
Cytoplasm. Mitochondria.
Gene Name
Positive Control
Jurkat or HepG2 cells. Human kidney or heart tissue.
Immunogen
Synthetic peptide corresponding to residues in human SDHB was used as an immunogen.
Alternate Names
Succinate dehydrogenase [ubiquinone] iron-sulfur subunit, mitochondrial, Iron-sulfur subunit of complex II, CWS2; DHSB; Iron-sulfur subunit of complex II; PGL4; SDH2; SDHB; SDHIP; Succinate dehydrogenase [ubiquinone] iron-sulfur subunit, mitochondrial; Succinate Dehydrogenase Complex Subunit B Iron Sulfur Protein

Database Links

Entrez Gene ID
SwissProt

Additional Information

Clone
SDHB/8974R
Chromosome Location
1p36.13
Mol. Weight of Antigen
32kDa

Functions

  • Iron-sulfur protein (IP) subunit of the succinate dehydrogenase complex (mitochondrial respiratory chain complex II), responsible for transferring electrons from succinate to ubiquinone (coenzyme Q).

Key References

  • Chang HC et al. Redox Biol 20:321-333 (2019).
  • Her YF et al. PLoS One 10:e0127471 (2015).

Storage & Stability

Antibody with azide - store at 2 to 8°C. Antibody without azide - store at -20 to -80°C.Antibody is stable for 24 months. Non-hazardous. No MSDS required.

Limitations

This antibody is available for research use only and is not approved for use in diagnosis.

Supplied as

200ug/ml of Ab purified from Bioreactor Concentrate by Protein A/G. Prepared in 10mM PBS with 0.05% BSA & 0.05% azide. Also available WITHOUT BSA & azide at 1.0mg/ml.

Warranty

There are no warranties, expressed or implied, which extend beyond this description. Company is not liable for any personal injury or economic loss resulting from this product.

Reviews

There are no reviews yet.

Be the first to review “Recombinant SDHB (Succinate Dehydrogenase B) (Pheochromocytoma Marker) Antibody”

Your email address will not be published. Required fields are marked *

PARTNERSHIP OPPORTUNITIES

NeoBiotechnologies holds Exclusive rights to 10,000 recombinant and hybridoma antibody products, available for Licensing or Collaboration.

LETS TALK