
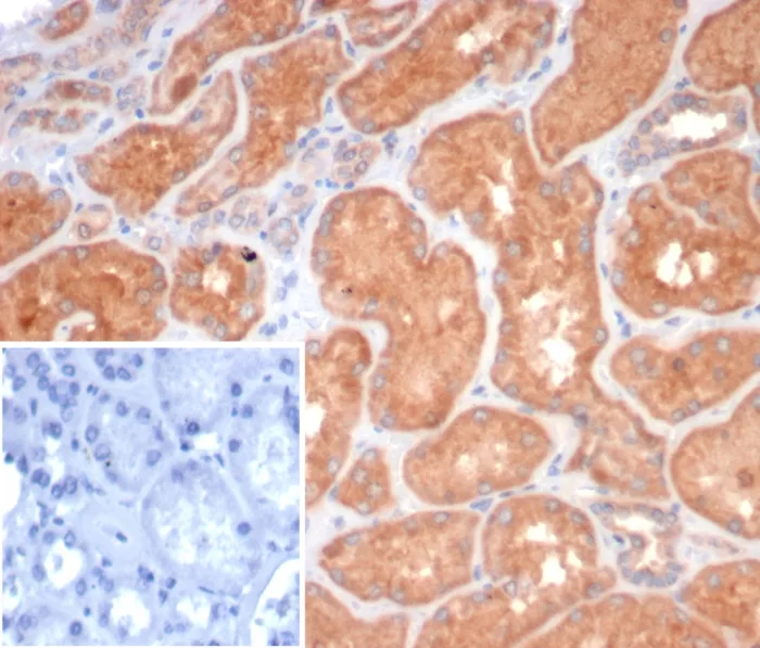
Formalin-fixed, paraffin-embedded human kidney stained with S100G Mouse Monoclonal Antibody (S100G/7462). Inset: PBS instead of primary antibody; secondary only negative control.
This gene encodes calbindin D9K, a vitamin D-dependent calcium-binding protein. This cytosolic protein belongs to a family of calcium-binding proteins that includes calmodulin, parvalbumin, troponin C, and S100 protein. In the intestine, the protein is vitamin D-dependent and its expression correlates with calcium transport activity. The protein may increase Ca2+ absorption by buffering Ca2+ in the cytoplasm and increase ATP-dependent Ca2+ transport in duodenal basolateral membrane vesicles. [provided by RefSeq, Jul 2008]
There are no reviews yet.