
SDS-PAGE Analysis of Purified S100A14 Mouse Monoclonal Antibody (S100A14/7401). Confirmation of Purity and Integrity of Antibody.

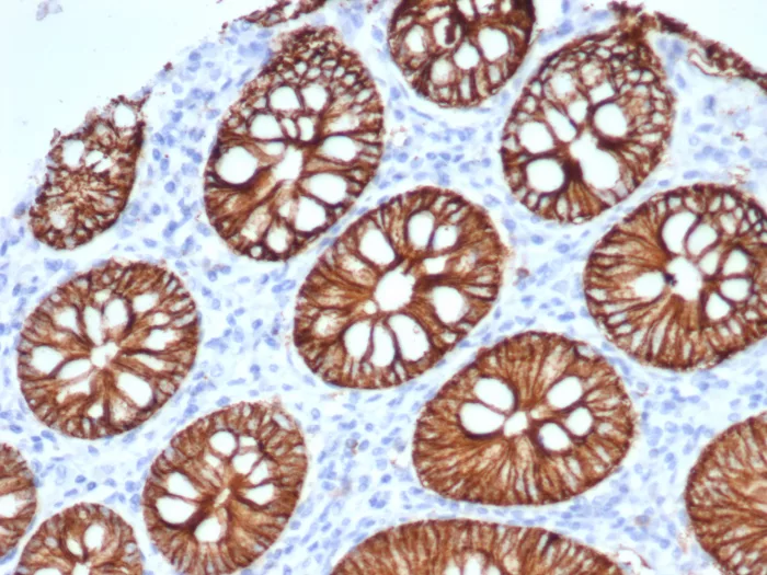
Formalin-fixed, paraffin-embedded human colon carcinoma stained with S100A14 Mouse Monoclonal Antibody (S100A14/7401). Inset: PBS instead of primary antibody; secondary only negative control.
Modulates P53/TP53 protein levels, and thereby plays a role in the regulation of cell survival and apoptosis. Depending on the context, it can promote cell proliferation or apoptosis. Plays a role in the regulation of cell migration by modulating the levels of MMP2, a matrix protease that is under transcriptional control of P53/TP53. Does not bind calcium.
There are no reviews yet.