
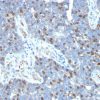
Formalin-fixed, paraffin-embedded human colon carcinoma stained with ROR-gamma / RORC Mouse Monoclonal Antibody (RORC/2941).

Formalin-fixed, paraffin-embedded human kidney stained with ROR-gamma / RORC Mouse Monoclonal Antibody (RORC/2941).

Immunofluorescence staining of PFA-fixed MOLT4 cells with ROR-gamma / RORC Mouse Monoclonal Antibody (RORC/2941) followed by goat anti-mouse IgG-CF488. Nuclei counterstained with RedDot.

Flow Cytometric Analysis of PFA-fixed MOLT4 cells using ROR-gamma / RORC Mouse Monoclonal Antibody (RORC/2941) followed by goat anti-mouse IgG-CF488 (blue); isotype control (red).

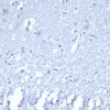
IHC analysis of formalin-fixed, paraffin-embedded human brain. Negative tissue control using RORC/2941 at 2ug/ml in PBS for 30min RT. HIER: Tris/EDTA, pH9.0, 45min. 2 °: HRP-polymer, 30min. DAB, 5min.

SDS-PAGE Analysis Purified ROR-gamma / RORC Mouse Monoclonal Antibody (RORC/2941). Confirmation of Purity and Integrity of Antibody.

Analysis of Protein Array containing more than 19,000 full-length human proteins using ROR-gamma / RORC Mouse Monoclonal Antibody (RORC/2941). Z- and S- Score: The Z-score represents the strength of a signal that a monoclonal antibody (MAb) (in combination with a fluorescently-tagged anti-IgG secondary antibody) produces when binding to a particular protein on the HuProtTM array. Z-scores are described in units of standard deviations (SD's) above the mean value of all signals generated on that array. If targets on HuProtTM are arranged in descending order of the Z-score, the S-score is the difference (also in units of SD's) between the Z-score. S-score therefore represents the relative target specificity of a MAb to its intended target. A MAb is considered to specific to its intended target, if the MAb has an S-score of at least 2.5. For example, if a MAb binds to protein X with a Z-score of 43 and to protein Y with a Z-score of 14, then the S-score for the binding of that MAb to protein X is equal to 29.
This MAb recognizes a protein of 63kDa, identified as ROR-C. Its epitope maps in between aa1-50. The nuclear orphan receptors ROR伪 and ROR纬 are members of the nuclear hormone receptor superfamily. Members of this family act by directly associating with DNA sequences known as hormone response elements (HREs) and typically bind DNA as either homo- or heterodimers. RORalpha and RORgamma are unique in that they bind DNA as monomers. RORalpha has multiple isoforms that share common DNA and putative ligand-binding domains, but differ in their amino terminal domains, which are generated by alternative RNA processing. RORgamma comprises a 560 amino acid protein that shares 50% amino acid identity with RORalpha and is most highly expressed in skeletal muscle. Although these proteins are considered orphan receptors, due to a lack of defined ligands, experimental evidence has shown that melatonin may be the natural ligand for these nuclear receptors.
There are no reviews yet.