
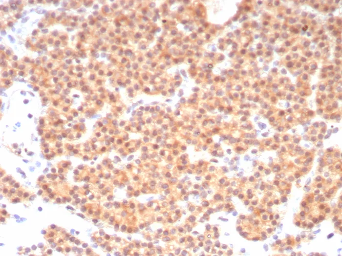
Formalin-fixed, paraffin-embedded human placenta stained with Purified RET Mouse Monoclonal Antibody (RET/8790). Inset: PBS instead of primary antibody; secondary only negative control.
The Ret proto-oncogene is structurally related to the growing family of tyrosine kinase transmembrane receptors and is involved in GDNF signaling. RET expression is reported in several regions of the central nervous system; in the developing cranial nerve ganglia and a subset of cells within dorsal root ganglia, in motor neurons in the spinal cord and hindbrain, in neuro-retina and the growing tips of the renal collecting ducts in developing kidney.Alterations in RET �gene are associated with diseases including papillary thyroid carcinoma, multiple endocrine neoplasia (type 2A and 2B), familial medullary thyroid carcinoma, and a congenital developmental disorder known as Hirschsprung s disease.
There are no reviews yet.