
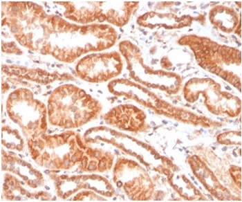
Formalin-fixed, paraffin-embedded human kidney stained with CAIX-MonospecificMouse Monoclonal Antibody (CA9/3406). HIER: Tris/EDTA, pH9.0, 45min. 2 °: HRP-polymer, 30min. DAB, 5min.

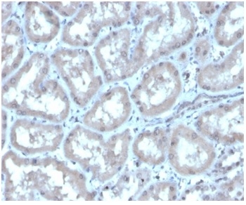
Formalin-fixed, paraffin-embedded human kidney stained with CAIX-Monospecific Mouse Monoclonal Antibody (CA9/3406). HIER: Tris/EDTA, pH9.0, 45min. 2 °: HRP-polymer, 30min. DAB, 5min.

SDS-PAGE Analysis Purified CAIX-Monospecific Mouse Monoclonal Antibody (CA9/3406). Confirmation of Integrity and Purity of Antibody.

Flow Cytometric Analysis of PFA-fixed U87MG cells using CAIX-Monospecific Mouse Monoclonal Antibody (CA9/3406) followed by goat anti-mouse IgG-CF488 (blue); isotype control (red).

Analysis of Protein Array containing more than 19,000 full-length human proteins using CAIX-Monospecific Mouse Monoclonal Antibody (CA9/3406). Z- and S- Score: The Z-score represents the strength of a signal that a monoclonal antibody (MAb) (in combination with a fluorescently-tagged anti-IgG secondary antibody) produces when binding to a particular protein on the HuProtTM array. Z-scores are described in units of standard deviations (SD's) above the mean value of all signals generated on that array. If targets on HuProtTM are arranged in descending order of the Z-score, the S-score is the difference (also in units of SD's) between the Z-score. S-score therefore represents the relative target specificity of a MAb to its intended target. A MAb is considered to specific to its intended target, if the MAb has an S-score of at least 2.5. For example, if a MAb binds to protein X with a Z-score of 43 and to protein Y with a Z-score of 14, then the S-score for the binding of that MAb to protein X is equal to 29.
Recognizes a glycoprotein of ~200kDa, identified as carbonic anhydrase IX (CAIX/gp200).In normal kidney, gp200 is localized along the brush border of the pars convoluta and pars recta segments of the proximal tubule, as well as focally along the luminal surface of Bowman’s capsule adjoining the outgoing proximal tubule. Reportedly, gp200 is expressed by 93% of primary and 84% of metastatic renal cell carcinomas. This MAb may be useful in the investigations of carcinomas of proximal nephrogenic differentiation especially those showing tubular differentiation.
There are no reviews yet.