
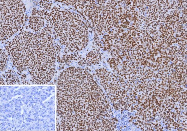
Formalin-fixed, paraffin-embedded human melanoma stained with SOX10 Recombinant Mouse Monoclonal Antibody (rSOX10/991). Inset: PBS instead of primary antibody; secondary only negative control.

Formalin-fixed, paraffin-embedded human breast carcinoma stained with SOX10 Recombinant Mouse Monoclonal Antibody (rSOX10/991). Inset: PBS instead of primary antibody; secondary only negative control.
The specificity of this monoclonal antibody to its intended target was validated by HuProtTM Array, containing more than 19,000, full-length human proteins. Recognizes a protein of ~55kDa, identified as SOX10. This MAb is highly specific and does not cross-react with other members of the SOX-family. SOX genes comprise a family of genes that are related to the mammalian sex-determining gene SRY. These genes similarly contain sequences that encode for the HMG-box domain, which is responsible for the sequence-specific DNA-binding activity. SOX-10 is a sensitive marker of melanoma, including conventional, spindled, and desmoplastic subtypes. It is expressed by metastatic melanomas and nodal capsular nevus in sentinel lymph nodes, but not by other lymph node components such as dendritic cells, which usually express S100 protein. Commonly used melanoma markers, such as anti-HMB-45 and anti-Melan-A, are poorly expressed in desmoplastic melanomas while SOX-10 is moderately to strongly expressed in desmoplastic melanomas. SOX-10 is considered as a very reliable marker for recognizing residual desmoplastic melanomas. In normal tissues, it is expressed in Schwann cells, melanocytes, and myoepithelial cells of salivary, bronchial and mammary glands. SOX-10 expression is also observed in mast cells.
There are no reviews yet.