pS2 / pNR-2 / TFF1 (Estrogen-Regulated Protein) Antibody [GE2; same as R47/94]

In Stock
Catalog Number Formulation Size Price
7031-MSM1-P0
Purified Ab with BSA and Azide at 200ug/ml
20ug
$259.00
7031-MSM1-P1
Purified Ab with BSA and Azide at 200ug/ml
100ug
$559.00
7031-MSM1-P1ABX
Purified Ab WITHOUT BSA and Azide at 1.0mg/ml
100ug
$559.00
Flat Rate Domestic: $95 | Orders outside the US - Contact Us for Order Information | Ships next business day

Applications & Dilutions

Applications Tested Dillution Protocol Note
Immunohistochemistry (IHC)
1-2ug/ml
30 min at RT. Staining of formalin-fixed tissues requires heating tissue sections in 10mM Tris with 1mM EDTA, pH 9.0, for 45 min at 95°C followed by cooling at RT for 20 minutes

Summary

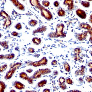
It recognizes a polypeptide of 6.5kDa, identified as pS2 estrogen-regulated protein. Its epitope is localized between aa57-84 of human pS2 protein. pS2 is a trefoil peptide. Trefoil peptides are protease resistant molecules secreted throughout the gut that play a role in mucosal healing. These peptides contain three intra-chain disulfide bonds, forming the trefoil motif, or P-domain. pS2 is known to form dimers and this dimerization is thought to play a role in its protective and healing properties. About 60% of breast carcinomas are positive for pS2. Staining is cytoplasmic, often with localization to the Golgi apparatus. pS2 is shown to be localized in normal stomach mucosa, gastric fluid, goblet cells in the colon and small intestine, and in ulcerations of the gastrointestinal tract. Several studies have shown that pS2 is primarily expressed in estrogen receptor-positive breast tumors and it may define a subset of estrogen-dependent tumors that displays an increased likelihood of response to endocrine therapy.

Product Properties & Targets

Antibody Type
Host
Mouse
Applications
Species Reactivity
Research Areas
Isotype / Light Chain
IgG1 / Kappa
Cellular Localization
Secreted
Gene Name
Positive Control
Breast or Ovarian carcinoma.
Immunogen
A synthetic peptide (around aa 57-84) of human pS2/TFF1 polypeptide (exact sequence is proprietary)
Alternate Names
Trefoil factor 1, Breast cancer estrogen-inducible protein, PNR-2, Polypeptide P1.A, Protein pS2, BCEI, Breast Cancer Estrogen Inducible Protein, Gastrointestinal Trefoil Protein, Gastrointestinal trefoil protein pS2, HP1A, HPS2, pNR2, TFF1, Trefoil Factor 1

Database Links

Entrez Gene ID
SwissProt

Additional Information

Clone
GE2; same as R47/94
Chromosome Location
16p11.2
Mol. Weight of Antigen
6.5kDa

Functions

  • Stabilizer of the mucous gel overlying the gastrointestinal mucosa that provides a physical barrier against various noxious agents. May inhibit the growth of calcium oxalate crystals in urine.

Key References

  • Williams R, et. al. Human Pathology, 1996, 27(12):1259-66.

Storage & Stability

Antibody with azide - store at 2 to 8°C. Antibody without azide - store at -20 to -80°C. Antibody is stable for 24 months. Non-hazardous. No MSDS required.

Limitations

This antibody is available for research use only and is not approved for use in diagnosis.

Supplied as

200ug/ml of Ab Purified from Bioreactor Concentrate by Protein A/G. Prepared in 10mM PBS with 0.05% BSA & 0.05% azide. Also available WITHOUT BSA & azide at 1.0mg/ml.

Warranty

There are no warranties, expressed or implied, which extend beyond this description. Company is not liable for any personal injury or economic loss resulting from this product.

Reviews

There are no reviews yet.

Be the first to review “pS2 / pNR-2 / TFF1 (Estrogen-Regulated Protein) Antibody”

Your email address will not be published. Required fields are marked *

PARTNERSHIP OPPORTUNITIES

NeoBiotechnologies holds Exclusive rights to 10,000 recombinant and hybridoma antibody products, available for Licensing or Collaboration.

LETS TALK