Prostate Specific Antigen (PSA) Antibody [[3E6]]

In Stock
Catalog Number Formulation Size Price
354-MSM7-P0
Purified Ab with BSA and Azide at 200ug/ml
20ug
$259.00
354-MSM7-P1
Purified Ab with BSA and Azide at 200ug/ml
100ug
$559.00
354-MSM7-P1ABX
Purified Ab WITHOUT BSA and Azide at 1.0mg/ml
100ug
$559.00
Flat Rate Domestic: $95 | Orders outside the US - Contact Us for Order Information | Ships next business day

Applications & Dilutions

Applications Tested Dillution Protocol Note
Immunofluorescence (IF)
1-3ug/ml
Immunohistochemistry (IHC)
1-2ug/ml
30 min at RT. Staining of formalin-fixed tissues requires heating tissue sections in 10mM Tris with 1mM EDTA, pH 9.0, for 45 min at 95°C followed by cooling at RT for 20 minutes

Summary

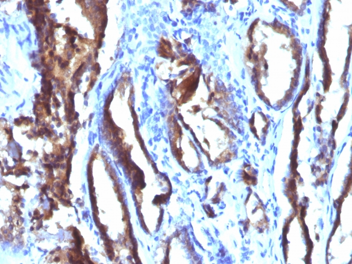
Recognizes a single protein of 33-34kDa, identified as the prostate specific antigen (PSA). This MAb is highly specific to PSA and stains prostatic secretory and ductal epithelium in both normal and neoplastic tissues. PSA is a chymotrypsin-like serine protease (kallikrein family) exclusively produced by the prostate epithelium, and abundant in seminal fluid. PSA can be detected in the sera of patients with prostatic carcinoma. It is predominantly complexed to a liver-derived serine protease inhibitor, alpha-1-antichymotrypsin (ACT). A higher proportion of serum PSA is complexed to ACT in prostate cancer than in benign prostate hyperplasia. This MAb makes an excellent pair with MAb A67-B/E3 for PSA tests.

Product Properties & Targets

Antibody Type
Host
Mouse
Species Reactivity
Isotype / Light Chain
IgG1 / Kappa
Cellular Localization
Secreted
Gene Name
Positive Control
PC12 cells. Normal prostate or prostate carcinoma.
Immunogen
Human Prostate Specific Antigen (PSA)
Alternate Names
Prostate-specific antigen, Gamma-seminoprotein, Kallikrein-3, P-30 antigen, Semenogelase, Antigen, prostate-specific (APS), Gamma-seminoprotein, hK3, Kallikrein related peptidase 3, Kallikrein-3 (KLK3), KLK2A1, P-30 antigen, Semenogelase, Seminin

Database Links

Entrez Gene ID
354
SwissProt

Additional Information

Clone
[3E6]
Chromosome Location
19q13.33
Mol. Weight of Antigen
33-34kDa

Functions

  • Hydrolyzes semenogelin-1 thus leading to the liquefaction of the seminal coagulum.

Key References

  • Watt, K.W., et al. 1986. Human prostate-specific antigen: structural and functional similarity with serine proteases. Proc. Natl. Acad. Sci. USA 83: 3166-3170.

Storage & Stability

Antibody with azide - store at 2 to 8°C. Antibody without azide - store at -20 to -80°C. Antibody is stable for 24 months. Non-hazardous. No MSDS required.

Limitations

This antibody is available for research use only and is not approved for use in diagnosis.

Supplied as

200ug/ml of Ab Purified from Bioreactor Concentrate by Protein A/G. Prepared in 10mM PBS with 0.05% BSA & 0.05% azide. Also available WITHOUT BSA & azide at 1.0mg/ml.

Warranty

There are no warranties, expressed or implied, which extend beyond this description. Company is not liable for any personal injury or economic loss resulting from this product.

Reviews

There are no reviews yet.

Be the first to review “Prostate Specific Antigen (PSA) Antibody”

Your email address will not be published. Required fields are marked *

PARTNERSHIP OPPORTUNITIES

NeoBiotechnologies holds Exclusive rights to 10,000 recombinant and hybridoma antibody products, available for Licensing or Collaboration.

LETS TALK