Proliferation Marker Antibody [JC1]

In Stock
Catalog Number Formulation Size Price
MSM1-3329-P0
Purified Ab with BSA and Azide at 200ug/ml
20ug
$259.00
MSM1-3329-P1
Purified Ab with BSA and Azide at 200ug/ml
100ug
$559.00
MSM1-3329-P1ABX
Purified Ab WITHOUT BSA and Azide at 1.0mg/ml
100ug
$559.00
Flat Rate Domestic: $95 | Orders outside the US - Contact Us for Order Information | Ships next business day

Applications & Dilutions

Applications Tested Dillution Protocol Note
Immunofluorescence (IF)
1-3ug/ml
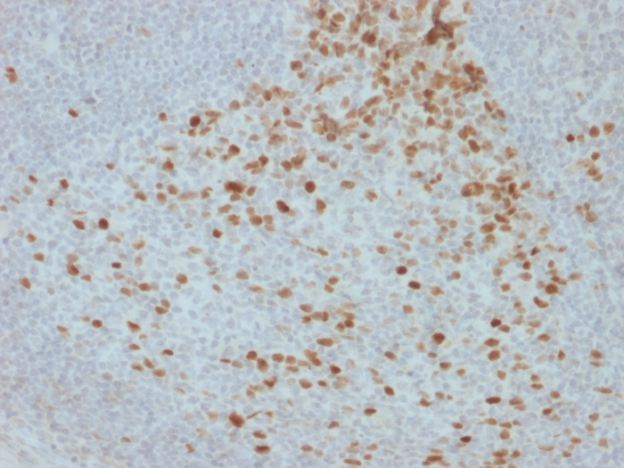
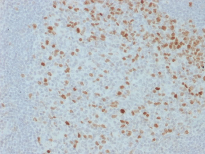
Immunohistochemistry (IHC)
1-2ug/ml
30 min at RT. Staining of formalin-fixed tissues requires heating tissue sections in 10mM Tris with 1mM EDTA, pH 9.0, for 45 min at 95°C followed by cooling at RT for 20 minutes
Western Blot (WB)
2-4ug/ml

Summary

JC1 detects a nuclear antigen, distinct from Ki67, present in proliferating cells. It is useful as a marker of proliferation in cases such as squamous cell carcinoma where the Ki67 index cannot be determined.

Product Properties & Targets

Antibody Type
Host
Mouse
Species Reactivity
Isotype / Light Chain
IgG2a / Kappa
Cellular Localization
N/A
Gene Name
N/A
Positive Control
HeLa cells (IF). Human lymph node (IHC).
Immunogen
Pokeweed-stimulated lymphocytes
Alternate Names
N/A, N/A

Database Links

Entrez Gene ID
SwissProt
N/A

Additional Information

Clone
JC1
Chromosome Location
Not Known
Mol. Weight of Antigen
212kDa and 123kDa

Functions

  • N/A

Key References

  • Rose, DS et al. J Clin Pathol. 1994 Nov; 47(11): 1010-1014.
  • Wang et al. 2016. Am J Cancer Res. 6(6):1331-44.

Storage & Stability

Antibody with azide - store at 2 to 8°C. Antibody without azide - store at -20 to -80°C. Antibody is stable for 24 months. Non-hazardous. No MSDS required.

Limitations

This antibody is available for research use only and is not approved for use in diagnosis.

Supplied as

200ug/ml of Ab Purified from Bioreactor Concentrate by Protein A/G. Prepared in 10mM PBS with 0.05% BSA & 0.05% azide. Also available WITHOUT BSA & azide at 1.0mg/ml.

Warranty

There are no warranties, expressed or implied, which extend beyond this description. Company is not liable for any personal injury or economic loss resulting from this product.

Reviews

There are no reviews yet.

Be the first to review “Proliferation Marker Antibody”

Your email address will not be published. Required fields are marked *

PARTNERSHIP OPPORTUNITIES

NeoBiotechnologies holds Exclusive rights to 10,000 recombinant and hybridoma antibody products, available for Licensing or Collaboration.

LETS TALK