
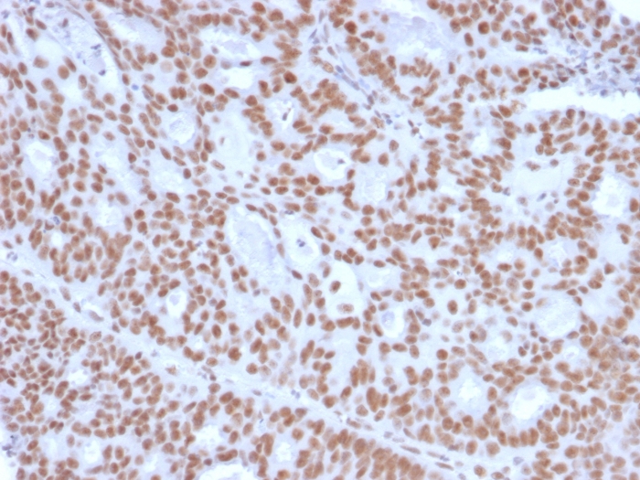
Formalin-fixed, paraffin-embedded human Endometrial Carcinoma stained with Progesterone Receptor Mouse Monoclonal Antibody (PGR/2694).

SDS-PAGE Analysis of Purified Progesterone Receptor Mouse Monoclonal Antibody (PGR/2694). Confirmation of Purity and Integrity of Antibody.

Analysis of Protein Array containing more than 19,000 full-length human proteins using Progesterone Receptor Mouse Monoclonal Antibody (PGR/2694). Z- and S- Score: The Z-score represents the strength of a signal that a monoclonal antibody (Monoclonal Antibody) (in combination with a fluorescently-tagged anti-IgG secondary antibody) produces when binding to a particular protein on the HuProtTM array. Z-scores are described in units of standard deviations (SD's) above the mean value of all signals generated on that array. If targets on HuProtTM are arranged in descending order of the Z-score, the S-score is the difference (also in units of SD's) between the Z-score. S-score therefore represents the relative target specificity of a Monoclonal Antibody to its intended target. A Monoclonal Antibody is considered to specific to its intended target, if the Monoclonal Antibody has an S-score of at least 2.5. For example, if a Monoclonal Antibody binds to protein X with a Z-score of 43 and to protein Y with a Z-score of 14, then the S-score for the binding of that Monoclonal Antibody to protein X is equal to 29.
This MAb is specific to progesterone receptor and shows minimal cross-reaction with other members of the family. Progesterone receptor is expressed as two major isoforms, PR-A (81kDa) and PR-B (116kDa). Expression of PgR has been suggested to reflect a intact estrogen regulatory machinery and therefore, predict better clinical response to endocrine therapy than estrogen receptor (ER) alone. This MAb is excellent for immunohistochemical staining of formalin-fixed tissues.
There are no reviews yet.