
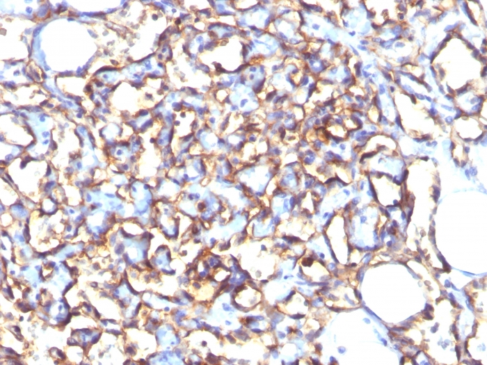
Formalin-fixed, paraffin-embedded human Angiosarcoma stained with Podocalyxin Mouse Monoclonal Antibody (3D3).

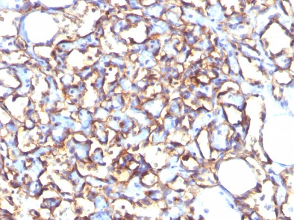
Formalin-fixed, paraffin-embedded human Placenta stained with Podocalyxin Mouse Monoclonal Antibody (3D3).
Podocalyxin is a member of the CD34 transmembrane sialomucin family. It is over-expressed on the podocyte foot projections and plays essential roles in kidney development and homeostasis, blood filtration and urine formation. It is also expressed on vascular endothelia, hematopoietic progenitors and a subset of neurons. Overexpression of podocalyxin may be linked to more aggressive tumor behavior. Podocalyxin antibody can identify podocytes in the urine (podocyturia) that may indicate glomerular disease, pre-eclampsia, and other kidney pathology.
There are no reviews yet.