
Flow cytometric analysis of PFA-fixed HeLa cells. PHF10 Mouse Monoclonal Antibody (PCRP-PHF10-2A10) followed by goat anti-mouse IgG-CF488 (blue); isotype control (red).

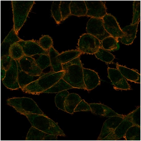
Immunofluorescence Analysis of PFA-fixed HeLa cells stained using PHF10 Mouse Monoclonal Antibody (PCRP-PHF10-2A10) followed by goat anti-mouse IgG-CF488 (green). CF640A phalloidin (red).
This gene contains a predicted ORF that encodes a protein with two zinc finger domains. The function of the encoded protein is not known. Sequence analysis suggests that multiple alternatively spliced transcript variants are derived from this gene but the full-length nature of only two of them is known. These two splice variants encode different isoforms. A pseudogene for this gene is located on Xq28.
There are no reviews yet.