
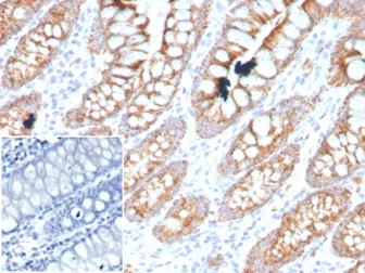
Formalin-fixed, paraffin-embedded human colon stained with PDGF beta Mouse Monoclonal Antibody (PDGFB/3071). Inset: PBS instead of primary antibody, secondary antibody negative control.

SDS-PAGE Analysis of Purified PDGF beta Mouse Monoclonal Antibody (PDGFB/3071). Confirmation of Purity and Integrity of Antibody.

Analysis of Protein Array containing more than 19,000 full-length human proteins using PDGF beta Mouse Monoclonal Antibody (PDGFB/3071). Z- and S- Score: The Z-score represents the strength of a signal that a monoclonal antibody (MAb) (in combination with a fluorescently-tagged anti-IgG secondary antibody) produces when binding to a particular protein on the HuProtTM array. Z-scores are described in units of standard deviations (SD's) above the mean value of all signals generated on that array. If targets on HuProtTM are arranged in descending order of the Z-score, the S-score is the difference (also in units of SD's) between the Z-score. S-score therefore represents the relative target specificity of a MAb to its intended target. A MAb is considered to specific to its intended target, if the MAb has an S-score of at least 2.5. For example, if a MAb binds to protein X with a Z-score of 43 and to protein Y with a Z-score of 14, then the S-score for the binding of that MAb to protein X is equal to 29.
PDGF is a mitogen for mesenchyme- and glia-derived cells. It consists of two disulfide-bonded polypeptide chains, A and B, and occurs as three isoforms; PDGF AA, AB and BB. The three isoforms bind, with different affinities, to two receptor types, 伪and 尾, which are structurally related and endowed with protein-tyrosine kinase domains. Ligand binding induces activation of the receptor kinases by formation of receptor dimers; the A subunit of PDGF binds only to 伪 receptors with high affinity, whereas the B subunit can bind to both 伪 and 尾 receptors. Evidence suggests that PDGF may function as a neurotrophic factor. Receptors for PDGF-A are expressed in oligodendrocyte progenitor cells whereas receptors for PDGF-B are expressed on neurons. These facts suggest that the different isoforms of PDGF may regulate growth and differentiation of different cell types in the developing central nervous system through paracrine and autocrine routes.
There are no reviews yet.